Farmacología

Una estrategia innovadora para la educación diabetológica

14 agosto 2017

Por medio de un juego de preguntas con respuestas de opción múltiple a través de internet o de una app telefónica, seguido durante 6 meses, se logró mejorar el control de la glucemia en un grado análogo al de agregar un nuevo medicamento. Diabetes Care, julio de 2017

Diabetes: comprender más para cuidarse mejor

10 agosto 2017

La alfabetización en salud (AS) mide la capacidad de los pacientes de leer, comprender y tomar decisiones en base a instrucciones médicas. Se encontró que una AS insuficiente es frecuente en pacientes diabéticos y se asocia a peor control de la enfermedad. Medicina (Buenos Aires), 2017 (3)

Inhibidores de SGLT2 y amputaciones en el registro de la FDA

09 agosto 2017

Una revisión de las denuncias de este efecto adverso al sistema de farmacovigilancia estadounidense. The Lancet Diabetes & Endocrinology, julio de 2017

Efectos cardiovasculares de los inhibidores de SGLT2

08 agosto 2017

Esta clase de hipoglucemiantes muestra algunos beneficios cardiovasculares que no parecen explicarse a través del efecto hipoglucemiante. Un estudio observacional aporta nueva información sobre este tema, que todavía requiere más investigación. The Lancet Diabetes & Endocrinology, 3 de agosto de 2017

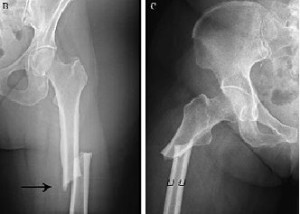
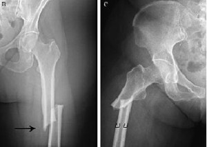
El uso prolongado de bifosfonatos reduce la resistencia a las fracturas

03 agosto 2017

Luego de un uso promedio de 8 años, los bifosfonatos mostraban tejido cortical más mineralizado pero con menor resistencia al inicio y progresión de la fractura femoral. PNAS, 31 de julio de 2017

Categorias

Etiquetas