Farmacología
Levetiracetam comparable a fenitoína en el status epiléptico pediátrico
27 mayo 2019
Dos ensayos clínicos muestran resultados similares de ambos tratamientos utilizados como tratamiento de segunda línea. The Lancet, abril de 2019
Síndrome de Stevens-Johnson Necrólisis Epidérmica Tóxica (Necrólisis Epitelial)
02 noviembre 2018
Advances in Diagnosis and Management of Cutaneous Adverse Drug Reactions, 20 de octubre de 2018 Algunos medicamentos de "alto riesgo" causan cerca del 50% de los casos (alopurinol, sulfametoxazol, lamotrigina, carbamazepina, fenitoína, fenobarbital, AINEs clase oxicam o clase inhibidores de la Cox2 ). El retiro inmediato de medicamentos sospechosos y las medidas terapéuticas sintomáticas dan resultados similares a los utilizados en quemaduras extensas. La ciclosporina A y el etanercept probablemente disminuyen la mortalidad.
Malformaciones congénitas asociadas a los fármacos antiepilépticos
20 abril 2018
Se estudiaron los medicamentos de uso más frecuente en monoterapia para identificar el riesgo de cada fármaco y de cada dosis sobre el desarrollo del feto. The Lancet Neurology, 18 de abril de 2018
Uso materno de agentes antiepilépticos durante el embarazo y malformaciones congénitas mayores en niños
14 noviembre 2017
JAMA, 7 de noviembre 2017 Ciertos medicamentos antiepilépticos se asociaron con mayores tasas de malformaciones congénitas (p. Ej., Espina bífida, anomalías cardíacas). La lamotrigina (2.31% en 4195 embarazos) y levetiracetam (1.77% en 817 embarazos) se asociaron con el riesgo más bajo y el valproato se asoció con el mayor riesgo (10.93% en 2565 embarazos) en comparación con la descendencia de mujeres sin epilepsia (2.51% en 2154 embarazos).
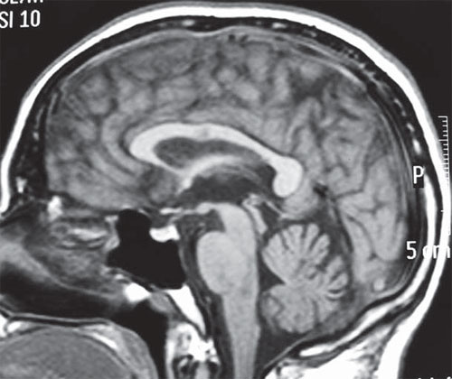
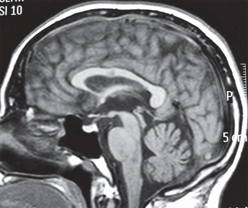
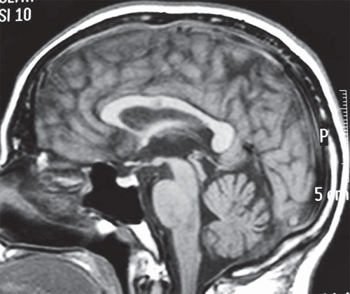
Fenitoína: los niveles séricos elevados pueden producir atrofia cerebelosa
02 agosto 2016