Farmacología

Prevención de la nefrolitiasis recurrente en adultos y niños: una revisión sistemática

25 marzo 2026

El aumento de la ingesta de líquidos, una dieta con un contenido normal a alto de calcio, bajo en proteínas y bajo en sodio, las tiazidas, la terapia alcalina y el alopurinol podrían prevenir la recurrencia de cálculos en adultos con cálculos de oxalato de calcio o fosfato de calcio. Annals of Internal Medicine, marzo de 2026.

Uso de alopurinol y riesgo de síndrome coronario agudo en pacientes con gota:  estudio de cohorte poblacional

05 marzo 2025

En pacientes con gota y sin enfermedad coronaria, el uso prolongado de alopurinol protege contra el primer síndrome coronario agudo (SCA) en comparación con los no usuarios. Por el contrario, los iniciadores del alopurinol, que posiblemente tenían más inflamación sistémica, tenían un mayor riesgo de SCA por primera vez en comparación con los usuarios a largo plazo. BMJ Open, 27 de febrero de 2025

Seguridad de la profilaxis con colchicina o con antiinflamatorios no esteroides al iniciar el tratamiento reductor de uratos para la gota

23 octubre 2023

En este estudio observacional se comparó el inicio de alopurinol para la gota acompañado de profilaxis con colchicina o con AINE versus alopurinol sin profilaxis asociada. Los eventos adversos fueron más comunes cuando se inició alopurinol con profilaxis, particularmente la aparición de diarrea con el uso de colchicina. Otros eventos fueron poco comunes, lo que brinda tranquilidad a los pacientes y a los médicos para permitir la toma de decisiones compartida. Annals of the Rheumatic Diseases, octubre de 2023.

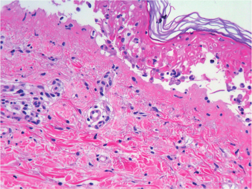
Necrólisis Epidérmica Tóxica: Revisión Clínica y Terapéutica

07 diciembre 2022

En general, su etiología y presentación son consensuadas, definiéndose como una necrólisis generalizada de la epidermis que se produce como una respuesta inmune descontrolada a un fármaco específico o a uno de sus metabolitos, destacando el cotrimoxazol y el alopurinol como los más importantes. Esta necrólisis conduce a un desprendimiento masivo de la capa epidérmica de la piel, con mayor incidencia en el torso, miembros superiores y cara. Eur. Burn J. 8 agosto 2022

Alopurinol versus atención habitual en pacientes del Reino Unido con cardiopatía isquémica (ALL-HEART)

11 octubre 2022

En este gran ensayo clínico aleatorizado en pacientes de 60 años o más con cardiopatía isquémica pero sin antecedentes de gota, no hubo diferencias en el resultado primario de infarto de miocardio no mortal, accidente cerebrovascular no mortal o muerte cardiovascular entre los participantes aleatorizados. al tratamiento con alopurinol y los asignados al azar a la atención habitual. Lancet, 8 de octubre de 2022

Categorias

Etiquetas