Farmacología

La repetición de la densitometría ósea de rastreo no aporta mayor capacidad predictiva

09 noviembre 2020

Una segunda evaluación de la DMO a los 3 años de la medición basal no se asoció con una mejor discriminación entre las mujeres que experimentaron y no experimentaron una fractura de cadera posterior o una fractura osteoporótica mayor, y no debe realizarse de forma rutinaria. JAMA Internal Medicine, julio de 2020.

Cirugía de cadera ultrarrápida

02 marzo 2020

En pacientes con fractura de cadera, la cirugía en las primeras seis horas del diagnóstico no obtuvo mejores resultados que la realizada a las 24 hs del mismo. The Lancet, 29 de febrero de 2020.

Asociación de definición de enfermedad, carga de comorbilidad y pronóstico con probabilidad de fractura de cadera en mujeres en edad avanzada

02 julio 2019

JAMA Intern Med. 17 de junio de 2019. Las mujeres de 80 años o más que tienen osteoporosis, incluidas aquellas con más comorbilidades o con un pronóstico desfavorable, tienen una alta probabilidad de fractura de 5 años a pesar de tener en cuenta el riesgo de mortalidad en competencia. En contraste, entre las mujeres sin osteoporosis de alto riesgo con alto riesgo de fractura, alto riesgo de fractura, especialmente con comorbilidades o peor pronóstico.

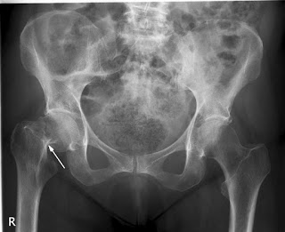
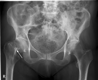
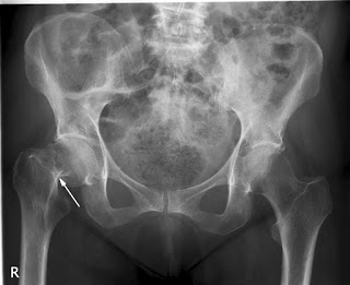
No se está tratando bien la osteoporosis luego de la fractura de cadera

23 julio 2018

Un estudio encuentra que menos del 10% de los pacientes había iniciado tratamiento para osteoporosis luego de 6 meses de la fractura, a pesar de los beneficios demostrados de los fármacos en esta indicación. JAMA Network Open, 20 de julio de 2018

Eficacia de un programa poblacional de rastreo de osteoporosis en mujeres de 70 a 85 años

19 diciembre 2017

Se calculó el puntaje FRAX y se realizó densitometría a aquellas con riesgo de fractura elevado, dejando el tratamiento a criterio del médico de cabecera. Se logró una reducción del 28% (IC 11-41%) de las fracturas de cadera. The Lancet, 15 de diciembre de 2017

Categorias

Etiquetas