Farmacología

Asociación de patrones de presión arterial a una edad media o avanzada con la demencia

21 agosto 2019

JAMA, 13 de agosto de 2019 En esta cohorte basada en la comunidad con seguimiento a largo plazo, la hipertensión sostenida de una edad media a la vejez y un patrón de hipertensión a una edad media e hipotensión en la vejez, en comparación con la presión arterial normal en una edad media a la vejez, se asocian con un aumento del riesgo de demencia posterior.

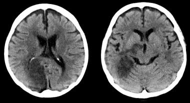
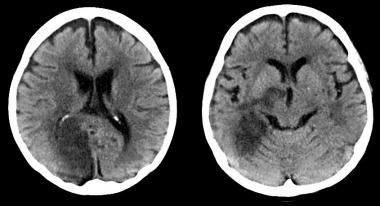
Efectos cerebrales del control intensivo de la hipertensión arterial

15 agosto 2019

En un subestudio del SPRINT se encuentra que los niveles más bajos de presión arterial se asociaron a una pequeña disminución de lesiones de la sustancia blanca, de significación clínica incierta. JAMA 13 de agosto de 2019

Potencial de ahorro con el uso de medicamentos genéricos en hipertensión

08 agosto 2019

Un estudio del Medicare estadounidense estima que el uso de productos genéricos de IECA y de ARA II permitiría ahorrar el 90% del gasto destinado a los respectivos productos de marca. JAMA Internal Medicine, 5 de agosto de 2019

Eventos cardiovasculares y mortalidad en la hipertensión de bata blanca: revisión sistemática y metanálisis

12 junio 2019

Ann Intern Med, 11 de junio de 2019  La hipertensión de bata blanca no tratada , pero no el efecto de bata blanca tratada , se asocia con un mayor riesgo de eventos cardiovasculares y mortalidad por todas las causas. El monitoreo de la PA fuera de la oficina es crítico en el diagnóstico y manejo de la hipertensión.

Novedades en hipertensión arterial (1a parte): HTA no complicada

10 abril 2019

BOLCAN Vol . 10  No 4 · enero 2019Servicio Canario de la Salud, abril de 2019se pretende resaltar algunos aspectos que puedan ayudar en la toma de decisiones en los pacientes con HTA esencial sin comorbilidades, dejando para una publicación posterior el resto de los casos

Categorias

Etiquetas