Farmacología

Otra alternativa eficaz para la Hepatitis C

30 enero 2018

El tratamiento con glecaprevir y pibrentasvir durante 8 o 12 semanas logró altas tasas de respuesta virológica sostenida en los pacientes con infección por los genotipos 1 o 3 del VHC que no tenían cirrosis. New England Journal of Medicine, 25 de enero de 2018

Incremento en las infecciones por serotipos de neumococo no incluidos en las vacunas

29 enero 2018

Tanto la vacuna 7- como la 13-valente redujeron la carga de enfermedad neumocócica invasiva en Inglaterra y Gales; sin embargo, los aumentos rápidos en algunos serotipos no cubiertos por las vacunas están comprometiendo los beneficios del programa. The Lancet Infectious Diseases, 25 de enero de 2018

Todavía está lejos la vacuna contra el virus del Zika

29 enero 2018

El desarrollo de vacunas eficaces y seguras enfrenta desafíos especiales en esta enfermedad. The Lancet Infectious Diseases, 25 de nero de 2018

Trastornos del movimiento inducidos por antibióticos

24 enero 2018

Butlletí de Farmacovigilància de Catalunya Vol. 15, nº 5, octubre-diciembre 2017

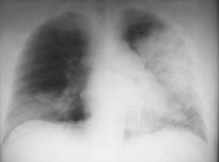
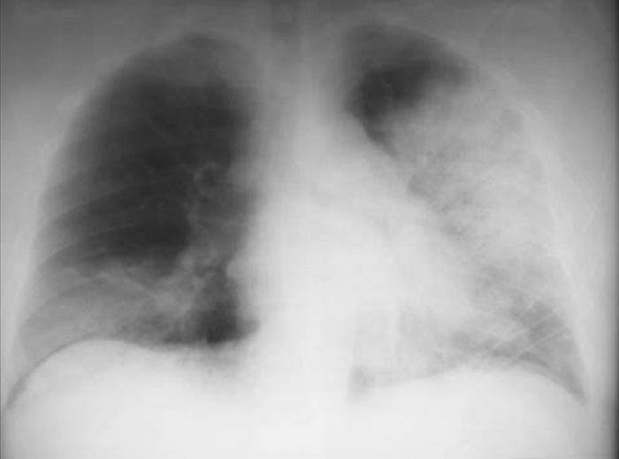
Corticoides en la neumonía severa

23 enero 2018

La actualización de una revisión Cochrane muestra beneficio del uso de corticosteroides en pacientes internados con neumonía severa. The Cochrane Library, 13 de diciembre de 2017

Categorias

Etiquetas