Farmacología
Impacto de las políticas nacionales sobre el cáncer en las tendencias de supervivencia del cáncer y las desigualdades socioeconómicas en Inglaterra, 1996-2013: estudio poblacional.
                    24 octubre 2018
                
            
            BMJ. 2018 Se encontró poca evidencia de un impacto directo de las estrategias nacionales contra el cáncer en la supervivencia de un año, y no hay evidencia de una reducción de las desigualdades socioeconómicas en la supervivencia del cáncer. Estos hallazgos enfatizan que las desigualdades socioeconómicas en la supervivencia siguen siendo un importante problema de salud pública para un sistema de salud basado en la equidad
Efectos de las limitaciones del gasto en salud y en asistencia social sobre la mortalidad en Inglaterra
                    22 noviembre 2017
                
            
            BMJ Open, 15 de noviembre de 2017 Las restricciones de gasto, especialmente en el gasto público en asistencia social, se asocian con una brecha de mortalidad sustancial. Sugerimos que el gasto se destine a mejorar la atención brindada en los hogares de atención y en el hogar; y mantener o aumentar el número de enfermeras.
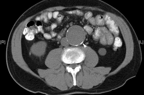
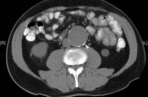
Aneurismas de aorta abdominal: más cirugías y menos mortalidad en EEUU
                    29 noviembre 2016
                
            
            La tasa de cirugías para reparación electiva del aneurisma abdominal en EEUU duplica la de Inglaterra, pero la mortalidad por rotura aneurismática es tres veces menor. New England Journal of Medicine, 24 de noviembre de 2016
Asociación entre el consumo de cigarrillo electrónico y los cambios en los intentos y éxito del abandono, uso de fármacos y de los servicios para dejar de fumar en Inglaterra
                    13 octubre 2016
                
            
            Prescripciones ambulatorias en Inglaterra: estadísticas 2005-2015
                    06 julio 2016
                
            
            