Farmacología

Curso clínico y resultados de pacientes críticos con neumonía por COVID-19 en Wuhan, China

02 marzo 2020

La mortalidad de pacientes críticos con neumonía por COVID-19 es considerable. El tiempo de supervivencia de los no sobrevivientes es de 1 a 2 semanas tras el ingreso en la UCI. Los pacientes mayores (> 65 años) con comorbilidades y síndrome de dificultad respiratoria aguda tienen un mayor riesgo de muerte. La gravedad de la neumonía por COVID-19 plantea una gran presión sobre los recursos de atención crítica en los hospitales, especialmente si no cuentan con el personal o los recursos adecuados.  Lancet Resp Med, 24 de febrero de 2020

Corticoides en la neumonía por 2019-nCoV

10 febrero 2020

Revisando los antecedentes del uso de corticosteroides en cuadros virales relacionados, no existe un buen motivo para esperar que los pacientes con infección por 2019-nCoV se beneficien de su uso, y podrían ser más propensos a sufrir los efectos adversos. Deberían usarse sólo en el contexto de un ensayo clínico. The Lancet, 7 de febrero de 2020

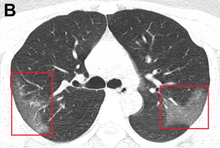
Características clínicas de los pacientes internados con neumonía por 2019-nCoV

10 febrero 2020

Cuadro febril con fatiga y tos seca, evoluciona a disnea en 5 días; presenta linfopenia, LDH elevada y tiempo de protrombina prolongado; tomografía con opacidad bilateral en vidrio esmerilado. El 26% requirió cuidados intensivo y el 4,3% falleció. JAMA, 7 de febrero de 2020

Nuevo coronavirus: puede transmitirse durante el período de incubación

04 febrero 2020

Como muchos otros virus respiratorios, el 2019-nCoV puede contagiarse desde una persona asintomática que está incubando la enfermedad. New England Journal of Medicine, 30 de enero de 2020

Neumonía por 2019-nCoV: datos de 425 casos

30 enero 2020

El período de incubación en esta serie con los primeros pacientes de China se estimó en 5,2 (4,1-7,0) días, con tiempo de duplicación de los casos de 7,4 días para esta fase inicial. New England Journal of Medicine, 29 de enero de 2020.

Categorias

Etiquetas