Farmacología
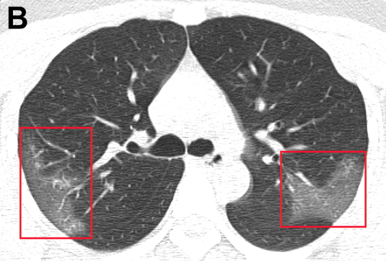
Características clínicas de los pacientes internados con neumonía por 2019-nCoV
                    10 febrero 2020
                
            
            Cuadro febril con fatiga y tos seca, evoluciona a disnea en 5 días; presenta linfopenia, LDH elevada y tiempo de protrombina prolongado; tomografía con opacidad bilateral en vidrio esmerilado. El 26% requirió cuidados intensivo y el 4,3% falleció. JAMA, 7 de febrero de 2020
Nuevo coronavirus: puede transmitirse durante el período de incubación
                    04 febrero 2020
                
            
            Como muchos otros virus respiratorios, el 2019-nCoV puede contagiarse desde una persona asintomática que está incubando la enfermedad. New England Journal of Medicine, 30 de enero de 2020
Neumonía por 2019-nCoV: datos de 425 casos
                    30 enero 2020
                
            
            El período de incubación en esta serie con los primeros pacientes de China se estimó en 5,2 (4,1-7,0) días, con tiempo de duplicación de los casos de 7,4 días para esta fase inicial. New England Journal of Medicine, 29 de enero de 2020.
Datos clínicos de la infección con el nuevo coronavirus 2019-nCoV
                    28 enero 2020
                
            
            Se publica la información sobre el inicio y la evolución del cuadro clínico en los primeros 41 pacientes infectados tratados en China. The Lancet, 24 de enero de 2020
Profilaxis del sangrado digestivo en pacientes críticos
                    16 enero 2020
                
            
            