Farmacología

Corticoides por vía oral en la exacerbación del asma en niños

19 febrero 2018

Dos dosis de dexametasona fueron tan eficaces como cinco días de prednisona o prednisolona. The Journal of Pediatrics, diciembre de 2017

Turismo de montaña: como diagnosticar el mal de las alturas

30 enero 2018

Algunos cuestionarios breves ayudan a identificar al viajero que experimenta el mal de montaña agudo. JAMA, noviembre de 2017

Resultados preliminares de un derivado cannabinoide en apnea obstructiva del sueño

29 enero 2018

En un estudio doble ciego comparado con placebo, el dronabinol se asoció con un índice de apneas e hipopneas más bajo, mejoría de la somnolencia autoinformada y una mayor satisfacción general con el tratamiento. Sleep, enero de 2018

Un solo cigarrillo por día ya aumenta el riesgo cardiovascular

25 enero 2018

Fumar un cigarrillo por día eleva el riesgo de desarrollar enfermedad coronaria y ACV aproximadamente a la mitad que fumar 20 cigarrillos por día. BMJ, 24 de enero de 2018

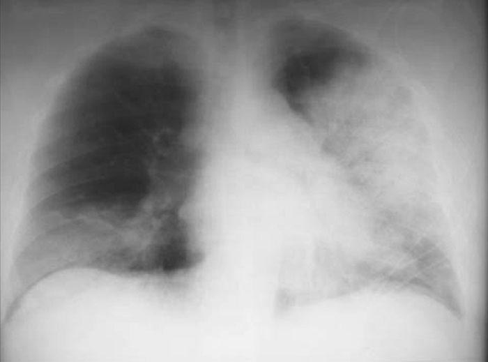
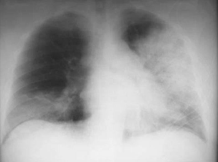
Corticoides en la neumonía severa

23 enero 2018

La actualización de una revisión Cochrane muestra beneficio del uso de corticosteroides en pacientes internados con neumonía severa. The Cochrane Library, 13 de diciembre de 2017

Categorias

Etiquetas