Farmacología
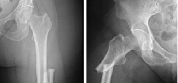
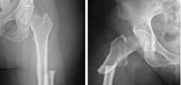
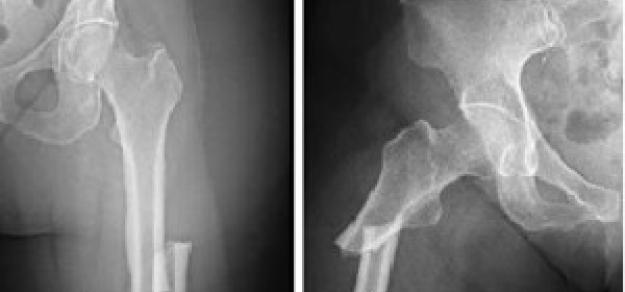
Combinaciones de implantes de elección en reemplazo total de cadera
                    09 noviembre 2017
                
            
            BMJ, 2 de noviembre de 2017 Las combinaciones de implantes más recientes no fueron mejores que la combinación de implantes de referencia en términos de riesgo de cirugía de revisión o la puntuación Harris de cadera.
¿Qué analgésicos son efectivos para la ciática (dolor radicular de la pierna)?
                    31 octubre 2017
                
            
            BMJ, 12 de octubre 2017 Existe incertidumbre de cual es el medicamento para el dolor más efectivo para tratar a pacientes con ciática o dolor radicular en la pierna En esta revisión se analizan las pruebas disponible para distintos grupos de fármacos: paracetamol, AINE, corticoides sistémicos, benzodiacepinas, anticonvulsivantes, antidepresivos, analgésicos opiáceos, agentes biológicos (adalimumab, etanercept e infliximab)
Ejercicio para la prevención del dolor lumbar: revisión sistemática y metaanálisis de ensayos controlados
                    30 octubre 2017
                
            
            American Journal of Epidemiology, 19 de octubre de 2017 El ejercicio reduce el riesgo de dolor lumbar y la discapacidad asociada, y se puede recomendar razonablemente una combinación de ejercicios de estiramiento o aeróbicos realizados 2-3 veces por semana para la prevención del dolor lumbar en la población general.
Paracetamol o fármacos antiinflamatorios no esteroideos en el trauma musculoesquelético agudo: un ensayo clínico multicéntrico, doble ciego, aleatorizado
                    24 octubre 2017
                
            
            Ann Emerg Med, 13 de octubre de 2017 El tratamiento del dolor con paracetamol no fue inferior al del diclofenac o la combinación de paracetamol y diclofenac en el traumatismo de extremidades musculoesqueléticas menores agudas, tanto en reposo como con movimiento.
Efectos sobre la salud y beneficios psicosexuales de los tacos altos
                    25 agosto 2017
                
            
            