Farmacología

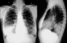
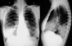
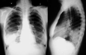
Relación entre los resultados de la radiografía de tórax y el inicio del tratamiento antibiótico en el tratamiento de la neumonía adquirida en la comunidad por médicos generales

04 diciembre 2024

En los pacientes con sospecha de neumonía adquirida en la comunidad (NAC), los médicos de cabecera tuvieron sistemáticamente en cuenta los resultados de las pruebas de respuesta positiva para iniciar el tratamiento antibiótico y tuvieron mucho menos en cuenta las pruebas de respuesta negativa. Estos resultados justifican la aclaración de qué se debe hacer en los casos de sospecha clínica de NAC sin confirmación radiológica. The Annals of Family Medicine, noviembre de 2024,

Patrón de prescripción de antibióticos por médicos de familia en atención primaria de salud

25 enero 2023

El número promedio de antibióticos por prescripción y el porcentaje de prescripciones irracionales fueron relativamente altos en este estudio. Es necesario mejorar los patrones de prescripción de antibióticos entre los médicos de familia que trabajan en la atención primaria de salud. J of Pharm Policy and Pract, 19 de enero de 2023

Comparación de la prescripción de antibióticos entre médicos de atención primaria del Reino Unido

13 abril 2022

En este análisis en un estudio de cohortes de ocho medidas diferentes de prescripción de antibióticos, la amplia variación observada en todas las medidas de prescripción de antibióticos (ATB) y la débil correlación entre ellas sugiere que una sola medida de ATB, como la tasa de prescripción, no es suficiente para respaldar la optimización de la prescripción de ATB. BMJ Quality & Safety, marzo 2022

La retroalimentación al profesional sobre sus prescripciones de antibióticos limita el uso excesivo

19 julio 2021

En este ensayo clínico aleatorizado, una carta enviada por correo al cuartil superior de prescriptores de antibióticos mostrando su comparación entre pares, condujo a una reducción estadísticamente significativa del uso total de antibióticos y de los tratamientos prolongados. JAMA Internal Medicine, 6 de julio de 2021.

Categorias

Etiquetas