Farmacología

Recomiendan suspender la comercialización en Europa de algunos contrastes con gadolinio

14 marzo 2017

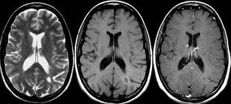
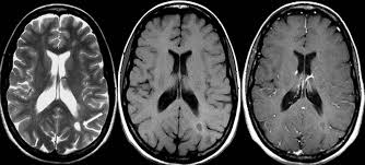
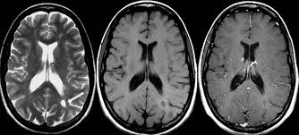
El área de farmacovigilancia de la Agencia Europea de Medicamentos encuentra evidencia de depósitos de gadolinio en el sistema nervioso, aunque no están bien definidas sus consecuencias. EMA, 10 de marzo de 2017

Nuevos antidiabéticos: canagliflozina y mayor riesgo de amputaciones

13 febrero 2017

El Comité de Farmacovigilancia de la Agencia Europea de Medicamentos concluyó que la canagliflozina puede contribuir al riesgo de amputación de dedos del pie, y que este riesgo también puede aplicarse a otros medicamentos en la misma clase. PRAC-EMA, 10 de febrero de 2017

Categorias

Etiquetas