Farmacología

La variabilidad de la presión arterial se asocia al desarrollo de demencia

14 agosto 2017

El grado de variación entre las mediciones domiciliarias de presión arterial tomadas en diferentes días se asoció al desarrollo de varios tipos de demencia, en forma independiente del valor absoluto de presión. Circulation, 7 de agosto de 2017

Tasas de hospitalización durante el uso de medicamentos potencialmente inapropiados en una gran cohorte de adultos mayores de base poblacional

07 agosto 2017

Br J Clin Pharmacol, 4 de agosto de 2017 Este estudio siguió a más de 1 millón de adultos durante más de una década, capturando períodos de uso de medicamentos potencialmente inapropiados como una exposición variable en el tiempo.El riesgo de hospitalización fue un 16% mayor durante períodos de uso de medicamentos potencialmente inapropiados. Bajo un escenario teórico con cero MPI exposiciones, se produrian 27 444 (1,7%) hospitalizaciones menos

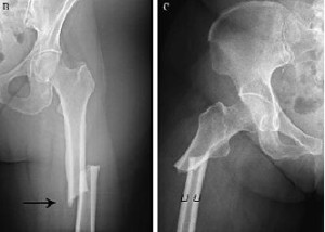
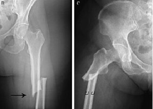
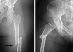
El uso prolongado de bifosfonatos reduce la resistencia a las fracturas

03 agosto 2017

Luego de un uso promedio de 8 años, los bifosfonatos mostraban tejido cortical más mineralizado pero con menor resistencia al inicio y progresión de la fractura femoral. PNAS, 31 de julio de 2017

Medicamentos y caídas

02 agosto 2017

Butlletí d’informació terapèutica, 28 (4) 2017 Xavier Bonafont, Roser Llop, Departament de Salut, julio de 2017 La importancia de las caídas y las fracturas asociadas, sobre todo en edades avanzadas, está relacionada con su incidencia, la morbilidad y la mortalidad que causan, y el elevado impacto sanitario. Las caídas constituyen un grave problema de salud, sobre todo en las personas mayores, debido a una disminución progresiva de la capacidad funcional, un deterioro cognitivo y una mayor dependencia.

Adultos mayores: precaución con las metas más estrictas de presión arterial

31 julio 2017

En un estudio de adultos mayores hipertensos que viven en la comunidad y que reciben tratamiento estándar por su presión arterial se observó que la frecuencia de síncopes y caídas era más de cinco veces la registrada en el SPRINT. JAMA Internal Medicine, 17 de julio de 2017

Categorias

Etiquetas