Farmacología

¿Prevenir la insuficiencia cardíaca es una opción real?

23 enero 2020

El aumento de la prevalencia de algunos factores de riesgo cardíaco y la subutilización de los tratamientos efectivos actualmente disponibles constituyen dos desafíos críticos frente a la epidemia de esta patología. Revista Argentina de Cardiología, diciembre de 2019.

Descenso intensivo vs usual de la tensión arterial en adultos mayores

15 octubre 2019

Una meta de tensión arterial sistólica menor a 130 mmHg no se asoció a cambios en la  movilidad o en las pruebas cognitivas, pero sí a menor progreso de las lesiones subcorticales en la resonancia magnética. Circulation, octubre de 2019

Provisión gratuita de medicamentos ambulatorios y adherencia al tratamiento

11 octubre 2019

Un esquema de acceso gratuito a los tratamientos crónicos para diabetes, hipertensión y dislipemia mostró un aumento general de la adherencia y mejor control de la tensión arterial, pero sin descenso del colesterol LDL ni de la hemoglobina glicosilada. JAMA Internal Medicine, 7 de octubre de 2019

Asociación de patrones de presión arterial a una edad media o avanzada con la demencia

21 agosto 2019

JAMA, 13 de agosto de 2019 En esta cohorte basada en la comunidad con seguimiento a largo plazo, la hipertensión sostenida de una edad media a la vejez y un patrón de hipertensión a una edad media e hipotensión en la vejez, en comparación con la presión arterial normal en una edad media a la vejez, se asocian con un aumento del riesgo de demencia posterior.

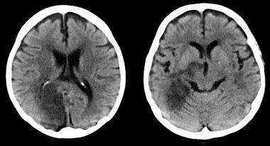
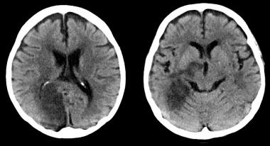
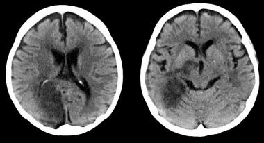
Efectos cerebrales del control intensivo de la hipertensión arterial

15 agosto 2019

En un subestudio del SPRINT se encuentra que los niveles más bajos de presión arterial se asociaron a una pequeña disminución de lesiones de la sustancia blanca, de significación clínica incierta. JAMA 13 de agosto de 2019

Categorias

Etiquetas