Farmacología

Clortalidona frente a hidroclorotiazida para el tratamiento de la hipertensión después de un infarto de miocardio o un accidente cerebrovascular

16 mayo 2024

Los resultados de este análisis secundario del ensayo Proyecto de Comparación de Diuréticos (DCP, por su sigla en inglés) sugieren que la clortalidona puede estar asociada con una reducción de los eventos cardiovasculares adversos importantes y de las muertes no relacionadas con el cáncer en pacientes con infarto de miocardio o accidente cerebrovascular previo en comparación con la hidroclorotiazida. JAMA Netw Open.14 de mayo de 2024

Microplásticos y nanoplásticos en ateromas carotídeos se asocian con eventos vasculares

07 marzo 2024

En este estudio se buscó la presencia de micro y nanoplásticos (MNP) en las placas ateromatosas extraidas por endarterectomía carotídea en pacientes asintomáticos: en  el 58% de los casos se encontró polietileno y en el 12%, polivinilo. En el seguimiento de 34 meses, la presencia de MNP en la placa carotídea se asoció con un mayor riesgo de infarto de miocardio, accidente cerebrovascular o muerte por cualquier causa. New England Journal of Medicine, 7 de marzo de 2024.

Mortalidad del infarto agudo de miocardio en la Argentina durante la pandemia de COVID-19

02 febrero 2024

Durante la pandemia hubo un fuerte incremento de la mortalidad general, atribuible al COVID-19, y un incremento de la mortalidad por infarto agudo de miocardio en especial en mujeres y en menores de 60 años, probablemente atribuible a los efectos secundarios del aislamiento social, preventivo y obligatorio (ASPO). Revista Artgentina de Cardiología, diciembre de 2023.

Colchicina en dosis bajas en pacientes con diabetes tipo 2 e infarto de miocardio reciente: el estudio COLCOT

10 enero 2024

En pacientes con diabetes tipo 2 y un infarto de miocardio reciente, una dosis diaria de 0,5 mg de colchicina produce una reducción del 35% (HR 0,65; IC95 %: 0,44 a 0,96; P = 0,03) de los eventos cardiovasculares. Estos resultados respaldan la realización del ensayo COLCOT-T2D en prevención primaria. Diabetes Care, 5 de enero de 2024.

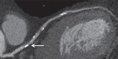
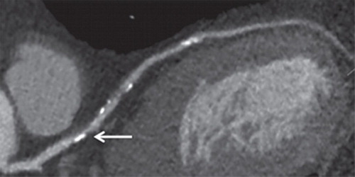
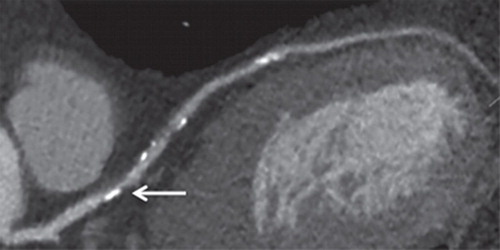
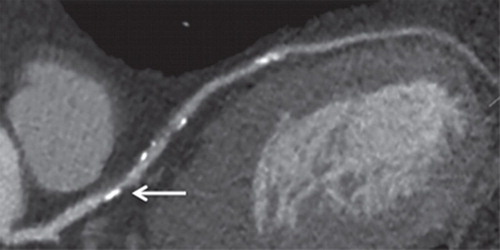
Ateroesclerosis coronaria subclínica y riesgo de infarto de miocardio

28 marzo 2023

En este estudio de cohortes realizado en Dinamarca, en personas asintomáticas, la detección de aterosclerosis coronaria obstructiva subclínica por medio de angiografía coronaria con TC se asoció con un riesgo más de 8 veces mayor de infarto de miocardio. Annals of Internal Medicine, 28 de marzo de 2023.

Categorias

Etiquetas