Farmacología
Suero equino hiperinmune en pacientes con neumonía por COVID-19 de manejo ambulatorio
                    13 octubre 2022
                
            
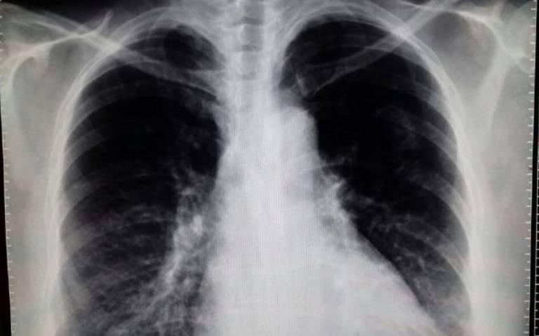
            Un estudio observacional comparó a los pacientes con diagnóstico de neumonía por COVID-19 de manejo ambulatorio que recibieron suero equino hiperinmune con aquellos que no lo recibieron. Ambos grupos fueron tratados con corticosteroides y colchicina. No se halló diferencia significativa en los desenlaces de necesidad de internación y mortalidad por la enfermedad. Medicina (Buenos Aires), octubre de 2022.
Frecuencia de Enfermedades Neurológicas Posterior a COVID-19, Influenza A/B y Neumonía Bacteriana
                    30 junio 2022
                
            
            El riesgo de trastornos neurodegenerativos y cerebrovasculares, pero no neuroinmunes, aumentó entre los pacientes ambulatorios positivos para COVID-19 en comparación con los pacientes ambulatorios negativos para COVID. Sin embargo, a excepción del accidente cerebrovascular isquémico, la mayoría de los trastornos neurológicos no fueron más frecuentes después de la COVID-19 que después de otras infecciones respiratorias.Front. Neurol., 23 junio 2022
Colchicina en los pacientes internados con neumonía por Covid-19
                    30 diciembre 2021
                
            
            En el informe final del ensayo clínico aleatorizado COLCOVID se encontró que, en comparación con la atención habitual, la colchicina no redujo significativamente la ventilación mecánica o la mortalidad a los 28 días en pacientes hospitalizados con neumonía COVID-19. JAMA Network Open, 29 de diciembre de 2021.
Ecografía pulmonar como predictor de terapia intensiva en neumonía por COVID-19
                    28 diciembre 2021
                
            
            En el análisis univariado se observó una asociación entre la puntuación de la ecografía pulmonar (EP), los niveles elevados de procalcitonina y péptido natriurético cerebral y el ingreso a terapia intensiva. En el análisis multivariado solo la puntuación de EP fue un predictor independiente de requerimiento de terapia intensiva. MEDICINA (Buenos Aires), diciembre de 2021
Eficacia del tofacitinib en pacientes internados con neumonía por SARS-CoV-2
                    29 julio 2021
                
            
            