Farmacología

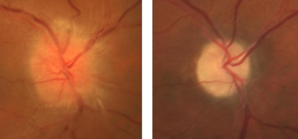
Neuropatía óptica isquémica anterior no arterítica de nueva aparición e iniciadores de semaglutida en veteranos estadounidenses con diabetes tipo 2

02 marzo 2026

En esta cohorte nacional de veteranos estadounidenses con diabetes tipo 2, los pacientes que iniciaron semaglutida presentaron un riesgo dos veces mayor de neuropatía óptica isquémica anterior no arterítica (NAION) que los que iniciaron un inhibidor del cotransportador de sodio-glucosa-2 (iSGLT2), aunque el riesgo absoluto fue bajo. Se debe informar a los médicos y pacientes sobre el aumento, poco frecuente pero evidente, del riesgo de NAION tras el inicio de semaglutida. JAMA Oftalmol  12 de febrero  de 2026

La ciencia de la seguridad: efectos adversos de los agonistas del receptor GLP-1 como medicamentos para reducir la glucosa y la obesidad

19 febrero 2026

En este artículo, se describen los mecanismos que potencialmente conducen a respuestas adversas a los ARGLP-1, se describe el impacto de los efectos secundarios en la persistencia del tratamiento, analizan posibles estrategias de mitigación e identifican áreas que requieren estudios adicionales. J Clin Invest. 16 de febrero de 2026

Alerta de la OMS: uso de semaglutida y riesgo de neuropatía óptica isquémica anterior no arterítica (NAION)

23 julio 2025

La OMS alerta a los profesionales sanitarios y a las autoridades reguladoras sobre el riesgo de neuropatía óptica isquémica anterior no arterítica (NAION) asociado al uso de semaglutida (Ozempic®, Rybelsus® y Wegovy®). La Agencia Europea de Medicamentos (EMA) ha recomendado actualizar la información del producto de estos medicamentos para incluir la NAION como efecto secundario, con una frecuencia clasificada como muy rara. Organización Mundial de la Salud, 27 de junio de 2025.

Riesgo de neuropatía oftálmica isquémica anterior no arterítica en pacientes que reciben semaglutida

08 julio 2024

Este estudio de cohorte reveló un mayor riesgo de neuropatía óptica isquémica anterior no arterítica en pacientes a los que se les prescribió semaglutida en comparación con los pacientes a los que se les recetaron otros medicamentos para la diabetes o la obesidad. Se requieren con urgencia nuevos estudios para ver si se replican estos resultados y evaluar la causalidad. JAMA Ophthalmology, 3 de julio de 2024.

Categorias

Etiquetas