Farmacología

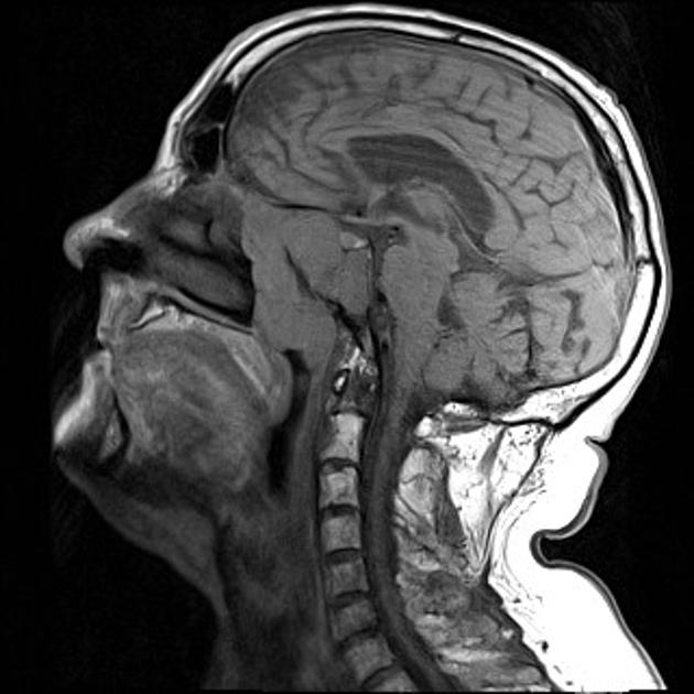
Rastreo de carcinoma nasofaríngeo con un análisis de sangre

15 agosto 2017

La presencia en plasma de ADN del virus Epstein-Barr tuvo una sensibilidad de 97,1% y una especificidad de 98,6% para el diagnóstico de carcinoma nasofaríngeo, realizado por endoscopía y resonancia magnética. New England Journal of Medicine, 10 de agosto de 2017

USPSTF: mantiene la recomendación en contra del rastreo de cáncer de ovario

19 julio 2017

El adelanto de la revisión 2017 de la guía de la Task Force norteamericana sostiene que los riesgos del cribado con ecografía transvaginal o con medición de CA-125 superan los eventuales beneficios, y recomienda no realizar estos procedimientos. USPSTF, julio de 2017

Cómo promover el rastreo para cáncer colorrectal

22 mayo 2017

Un video educativo combinado con el seguimiento personalizado del proceso logró duplicar el porcentaje de pacientes que completaron el rastreo. JAMA Internal Medicine, 15 de mayo de 2017

Recomiendan no hacer rastreo del cáncer de tiroides

10 mayo 2017

A raíz del sobrediagnóstico de tumores que no tienen consecuencias para la salud, se aconseja no realizar estudios dirigidos a buscar neoplasias en la tiroides a personas sin sospecha de la enfermedad, de acuerdo al Grupo de Trabajo de Servicios Preventivos de los Estados Unidos (USPSTF). JAMA, 9 de mayo de 2017

La importancia de controlar la tensión arterial durante el embarazo

26 abril 2017

El rastreo de preeclampsia facilita su diagnóstico precoz y permite reducir el riesgo de desenlaces desfavorables para la madre y el niño. JAMA, 25 de abril de 2017

Categorias

Etiquetas