Farmacología

Obesidad: actualización de los resultados del tratamiento médico y de la cirugía bariátrica

18 enero 2018

Un número especial del JAMA reúne cinco artículos originales de investigación, además de comentarios y editoriales sobre el estado del arte en el tratamiento de la obesidad moderada a severa. JAMA, 16 de enero de 2018

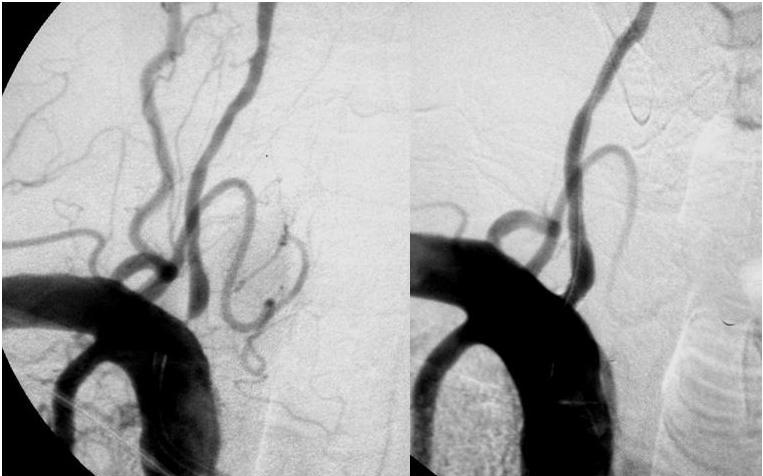
Stents en las arterias vertebrales: se precisan más estudios

09 octubre 2017

En pacientes con estenosis sintomáticas en el territorio vertebral el tratamiento con stents no fue superior al manejo médico óptimo. Neurology, 19 de septiembre de 2017

Categorias

Etiquetas