Farmacología

Factores de riesgo modificables de mortalidad y enfermedad cardiovascular

06 septiembre 2019

Alrededor del 70% de la enfermedad cardiovascular y de la mortalidad son atribuíbles a 14 factores de riesgo conductuales, metabólicos, socioeconómicos, psicosociales y ambientales, según los hallazgos del estudio PURE en 25 países. The Lancet 3 de septiembre de 2019

4ta Encuesta Nacional de Factores de Riesgo: sedentarismo y obesidad en ascenso

25 abril 2019

Se publican los resultados preliminares de una nueva ronda de la encuesta: un 65% de la población adulta es sedentaria y 62% tiene sobrepeso u obesidad. El tabaquismo sigue en descenso: 22% de los adultos consumen tabaco.

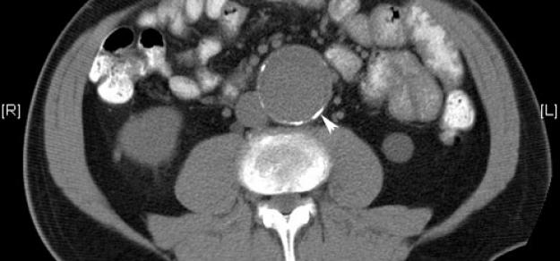
Prescripción de metformina y aneurisma aórtico

03 abril 2019

Heart, 1 de abril de 2019 la prescripción de metformina podría limitar la expansión de la AAA entre los pacientes con esta enfermedad, y podría estar involucrada con una menor incidencia de aneurisma aórtico y eventos de aneurisma aórtico

Asociación del uso de estatinas con rasgos glucémicos y diabetes tipo 2 incidente

28 marzo 2019

Br J Clin Pharmacol. 2019las personas que usan estatinas pueden tener un mayor riesgo de hiperglucemia, resistencia a la insulina y, finalmente, diabetes tipo 2.

Categorias

Etiquetas