Farmacología

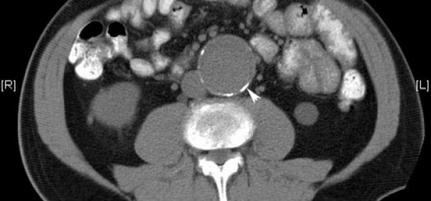
Prescripción de metformina y aneurisma aórtico

03 abril 2019

Heart, 1 de abril de 2019 la prescripción de metformina podría limitar la expansión de la AAA entre los pacientes con esta enfermedad, y podría estar involucrada con una menor incidencia de aneurisma aórtico y eventos de aneurisma aórtico

Asociación del uso de estatinas con rasgos glucémicos y diabetes tipo 2 incidente

28 marzo 2019

Br J Clin Pharmacol. 2019las personas que usan estatinas pueden tener un mayor riesgo de hiperglucemia, resistencia a la insulina y, finalmente, diabetes tipo 2.

Diabetes en el adulto mayor: minimizar los riesgos del tratamiento

25 marzo 2019

La guía de la Endocrine Society enfatiza la adecuación de las metas glucémicas al estado general, así como  evitar la medicación con mayor riesgo de hipoglucemia.The Journal of Clinical Endocrinology & Metabolism, 23 de marzo de 2019

Nuevos hallazgos de resultados cardiovasculares en ECA con antidiabéticos

22 marzo 2019

Ojo de Markov número ochenta - febrero 2018.  Sacyl , 12 de marzo de 2019El diseño de estos estudios permite confirmar la seguridad cardiovascular de estos fármacos, pero no permite extraer conclusiones firmes sobre su eficacia CV. Liraglutida, albiglutida, empagliflozina y canagliflozina han demostrado un posible, aunque modesto, beneficio en variables CV pero se desconoce el mecanismo que lo justifica y habrá que confirmarlo con ensayos clínicos diseñados para este fin.

Remisión de la diabetes tipo 2 con descenso y control del peso

20 marzo 2019

Lancet Diabetes & Endocrinology, 6 de marzo 2019 El programa DiRECT mantuvo remisiones a los 24 meses en más de un tercio de las personas con diabetes tipo 2. La remisión sostenida se relacionó con el grado de pérdida de peso sostenido.

Categorias

Etiquetas