Farmacología

Día Mundial de la Seguridad del Paciente, 17 de septiembre de 2024: Mejorar el diagnóstico para la seguridad del paciente

17 septiembre 2024

El Día Mundial de la Seguridad del Paciente brinda la oportunidad de sensibilizar a la opinión pública y fomentar la colaboración entre pacientes, personal de salud, responsables políticos y gestores del ámbito de la atención de salud, con el fin de mejorar la seguridad de los pacientes.Este año se ha escogido el tema Mejorar el diagnóstico para la seguridad del paciente, bajo la divisa Diagnósticos correctos, pacientes seguros. De este modo se pretende poner de relieve la gran importancia de diagnosticar de forma correcta y oportuna para velar por la seguridad del paciente y mejorar su salud. Para un acercamiento conceptual reproducimos la nota descriptiva de OMS . OMS, 17 de septiembre de 2024

Discordancia diagnóstica, incertidumbre y ambigüedad en el tratamiento de la neumonía adquirida en la comunidad: estudio de cohorte nacional de 115 hospitales de Asuntos de Veteranos de EE. UU.

20 agosto 2024

Más de la mitad de los pacientes hospitalizados y tratados por neumonía tenían diagnósticos discordantes desde la presentación inicial hasta el alta. Los tratamientos para otros diagnósticos y las expresiones de incertidumbre fueron comunes. Estos hallazgos resaltan la necesidad de reconocer la incertidumbre diagnóstica y la ambigüedad del tratamiento en la investigación y la práctica de la atención relacionada con la neumonía. Ann Intern Med. 6 de Agosto 2024

Utilidad de la ecografía en el diagnóstico de la sospecha de embolia pulmonar

29 mayo 2024

La ecografía redujo sustancialmente la derivación a diagnóstico por imágenes en caso de sospecha de embolia pulmonar, pero con una tasa de fracaso inaceptable. The Lancet Regional Health Europe, 22 de mayo de 2024.

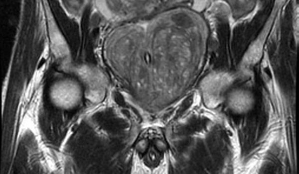
Imágenes por resonancia magnética en la detección del cáncer de próstata:  revisión sistemática y metanálisis

07 mayo 2024

Los resultados de esta revisión sistemática y metanálisis sugieren que la integración de la resonancia magnética en las vías de detección del cáncer de próstata se asocia con un número reducido de biopsias innecesarias y un sobrediagnóstico de cáncer de próstata insignificante, al tiempo que se mantiene la detección de cáncer de próstata clínicamente significativo en comparación con la detección solo con PSA. JAMA Oncol,  5 de abril de 2024

¿Este bebé tiene una luxación de cadera?: Revisión sistemática del examen clínico racional

22 abril 2024

En los estudios en los que se examinaron todas las caderas de los bebés para detectar displasia del desarrollo de la cadera, la prevalencia de una cadera dislocada fue del 0,94 %. Una razón de probabilidad positiva para las maniobras de Barlow y Ortolani fue el hallazgo más asociado con una mayor probabilidad de cadera dislocada. La abducción limitada de la cadera o un chasquido no tenían una utilidad diagnóstica clara. JAMA. 15 de abril de 2024.

Categorias

Etiquetas