Farmacología
Un ensayo pragmático de glucocorticoides para la neumonía adquirida en la comunidad
                    30 octubre 2025
                
            
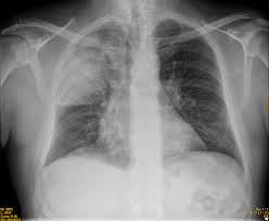
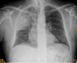
            En pacientes con neumonía adquirida en la comunidad en un entorno de bajos recursos, la terapia adyuvante con glucocorticoides se asoció con un menor riesgo de muerte que la atención estándar. New England Journal of Medicine, octubre de 2025.
Osteoporosis inducida por glucocorticoides: conceptos novedosos e implicaciones clínicas.
                    01 octubre 2025
                
            
            Esta revisión destaca cómo el microambiente óseo responde a concentraciones suprafisiológicas de glucocorticoides y analiza las bases de la fragilidad esquelética y las fracturas. Revisa el uso y las limitaciones de las tecnologías de imagen y las herramientas de predicción actuales y emergentes, y analiza las estrategias de tratamiento osteoformador y antirresortivo, así como su uso para prevenir y tratar la osteoporosis inducida por glucocorticoides. Lancet Diabetes Endocrinol, 26 de septiembre de 2025
Rituximab versus terapia convencional para la remisión de la granulomatosis eosinofílica con poliangeítis
                    30 julio 2025
                
            
            En este ensayo clínico aleatorizado, doble ciego, el rituximab no fue superior a una estrategia convencional de glucocorticoides solos o en combinación con ciclofosfamida para la inducción de la remisión en la granulomatosis eosinofílica con poliangeítis. Annals of Internal Medicine, 29 de julio de 2025.
¿Hay un aumento de eventos adversos entre los pacientes con neuritis óptica aguda a los que se recetan glucocorticoides?
                    17 julio 2024
                
            
            Las prescripciones de glucocorticoides en el mundo real entre pacientes con NO fueron a corto plazo, lo que se asoció con un aumento relativo del 30% en EA potencialmente graves capturados en encuentros de atención médica, incluidos aquellos no observados previamente, como el tromboembolismo venoso. Estos resultados pueden informar las decisiones de tratamiento, particularmente para los pacientes con NO que probablemente experimenten solo beneficios marginales. BMJ Open, julio de 2024.
Antiinflamatorios como tratamiento complementario de la celulitis: revisión sistemática y metanálisis
                    12 junio 2024
                
            
            