Farmacología

Tuberculosis multirresistente: situación actual

28 marzo 2017

El informe de una comisión internacional revisa la epidemiología, bacteriología, diagnóstico y tratamiento de la tuberculosis multirresistente a nivel global, incluyendo la aparición de cepas “programáticamente incurables” con los medicamentos actuales. The Lancet Respiratory Medicine, 23 de marzo de 2007

Los Tsimané: la población con corazones más saludables del mundo

21 marzo 2017

Este pueblo de la Amazonia boliviana, con un estilo de vida pre-industrial, tiene niveles muy bajos de todos los factores de riesgo cardiovascular y una prevalencia mínima de enfermedad coronaria. The Lancet, 17 de marzo de 2017

Dengue y trombocitopenia: sin beneficios de la transfusión preventiva

13 marzo 2017

En pacientes con dengue y menos de 20.000 plaquetas/μL las transfusiones preventivas de plaquetas no obtuvieron beneficios clínicos pero aumentaron los eventos adversos. The Lancet, 7 de marzo de 2017

Tuberculosis infantil: resultados a lo largo de 70 años

23 febrero 2017

La mortalidad de los niños afectados por tuberculosis alcanzaba el 21% a mediados del siglo XX, y se ha reducido a menos del 1% con los tratamientos actuales. La coinfección con VIH y la edad menor a 5 años agravan el pronóstico. The Lancet Infectious Diseases, 1º de marzo de 2017

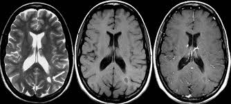
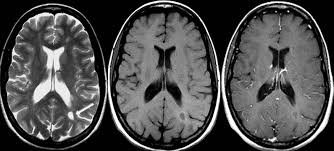
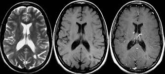
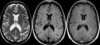
Déficit de atención con hiperactividad: hallazgos en neuroimágenes

23 febrero 2017

La resonancia magnética muestra reducción del volumen de diversas estructuras cerebrales en niños con la afección, pero no en los pacientes adultos. Podría interpretarse como un retraso en la maduración cerebral. The Lancet Psychiatry, 15 de febrero de 2017

Categorias

Etiquetas