Farmacología
Paracetamol en comparación con el ibuprofeno en niños pequeños con asma persistente leve
                    30 agosto 2016
                
            
            Los stents coronarios actuales con o sin fármacos dan resultados similares
                    30 agosto 2016
                
            
            No hubo diferencia en mortalidad, nuevos infartos de miocardio o calidad de vida, en un estudio escandinavo con 9.000 pacientes. Los stents con medicamentos redujeron en un 3,3% la tasa absoluta de nueva revascularización a seis años. New England Journal of Medicine, 30 de agosto de 2016
Apnea del sueño: el tratamiento mejoró los síntomas pero no previno eventos vasculares
                    29 agosto 2016
                
            
            New England Journal of Medicine, 28 de agosto de 2016
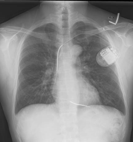
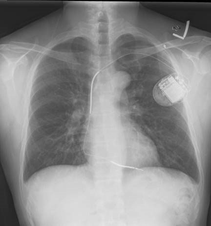
El cardiodesfibrilador implantable profiláctico no disminuyó la mortalidad en insuficiencia cardíaca sistólica de causa no coronaria
                    28 agosto 2016
                
            
            Los pacientes estudiados estaban en clase funcional II o III; el 58% tenía colocado un dispositivo de resincronización cardíaca. New England Journal of Medicine, 27 de agosto de 2016
Encuentran nueva asociación entre el exceso de peso y ocho tipos de cáncer
                    26 agosto 2016
                
            
            