Farmacología
Resonancia magnética en la embolia pulmonar
                    05 junio 2017
                
            
            El método tiene alta especificidad pero no es tan sensible como la angio TC para el estudio de pacientes con sospecha de embolismo pulmonar. Thrombosis Research, junio de 2017
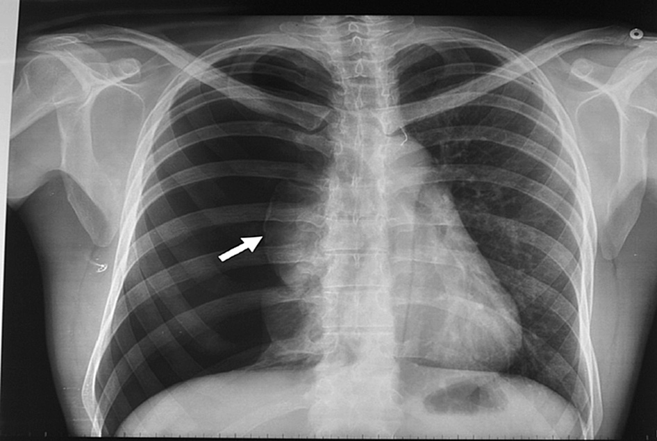
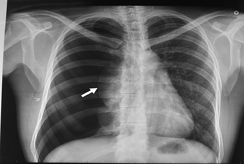
Neumotórax espontáneo: aspiración con aguja vs drenaje con tubo
                    05 junio 2017
                
            
            El tratamiento inicial de aspiración con aguja obtiene mejore resultados inmediatos y acorta los tiempos de internación. European Respiratory Journal, abril de 2017
Antibióticos en las infecciones no complicadas de la vía aérea inferior
                    24 mayo 2017
                
            
            La prescripción diferida de antibióticos tuvo buenos resultados clínicos y una menor tasa de reconsulta BMJ, 22 de mayo de 2017
Descenso del tabaquismo entre los médicos argentinos
                    19 mayo 2017
                
            
            Una encuesta de la Sociedad Argentina de Cardiología muestra una reducción del 39% en el hábito de fumar de los médicos entre 2004 y 2013. Revista Argentina de Cardiología 2017, vol 85, Nº 1
Corticoides inhalados en el asma y riesgo de neumonía
                    10 mayo 2017