Farmacología

Agonistas del receptor de GLP-1 e incidencia de diferentes tipos de cáncer asociado con la obesidad en pacientes con diabetes tipo 2

08 julio 2024

Este estudio de cohorte de más de 1,6 millones de pacientes con diabetes tipo 2 que no tenían un diagnóstico previo de cáncer encontró que los pacientes ratados con agonistas del receptor de GLP-1 tenían una reducción significativa del riesgo en 10 de 13 cánceres en comparación con los tratados con insulina, incluidos el cáncer esofágico, colorrectal, endometrial, de vesícula biliar, de riñón, hepático, de ovario y páncreas, así como meningioma y mieloma múltiple. No se encontró ninguna disminución en el riesgo de cáncer cuando se comparaban los AR-GLP-1   con el tratamiento con metformina. JAMA Network Open, 5 de julio de 2024.

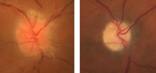
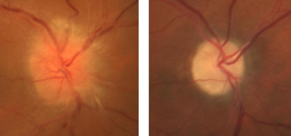
Riesgo de neuropatía oftálmica isquémica anterior no arterítica en pacientes que reciben semaglutida

08 julio 2024

Este estudio de cohorte reveló un mayor riesgo de neuropatía óptica isquémica anterior no arterítica en pacientes a los que se les prescribió semaglutida en comparación con los pacientes a los que se les recetaron otros medicamentos para la diabetes o la obesidad. Se requieren con urgencia nuevos estudios para ver si se replican estos resultados y evaluar la causalidad. JAMA Ophthalmology, 3 de julio de 2024.

Salud ósea frente a la pérdida de peso: comparación entre ejercicio solo, tratamiento con agonistas del receptor GLP-1 o tratamiento combinado

01 julio 2024

En este ensayo clínico aleatorizado, la combinación de ejercicio y GLP-1RA (liraglutida) fue la estrategia de pérdida de peso más eficaz y al mismo tiempo preservaba la salud ósea. El tratamiento con liraglutida solo redujo la DMO en sitios clínicamente relevantes más que el ejercicio solo a pesar de una pérdida de peso similar. JAMA Network Open, 25 de junio de 2024.

Cirugía bariátrica para la ovulación espontánea en mujeres que viven con síndrome de ovario poliquístico

23 mayo 2024

La cirugía bariátrica fue más efectiva que la atención médica para la inducción de la ovulación espontánea en mujeres con síndrome de ovario poliquístico, obesidad y oligomenorrea o amenorrea. Por tanto, la cirugía bariátrica podría mejorar las perspectivas de fertilidad espontánea en este grupo de mujeres. The Lancet, 20 de mayo de 2024.

Tratamiento farmacológico de la obesidad

16 mayo 2024

El lugar de la terapéutica de estos fármacos en la práctica clínica puede ser complejo, dado que las necesidades y expectativas de los pacientes pueden impulsar su prescripción temprana y en contextos cuya evidencia es escasa. El abordaje terapéutico de la obesidad debe incluir un enfoque integral que incluya un abordaje de todas sus posibles causas. Boletín Farmacológico, marzo de 2024.

Categorias

Etiquetas