Farmacología

Seguridad psiquiátrica de la semaglutida para el control del peso en pacientes sin psicopatología importante conocida: análisis post hoc de los ensayos STEP 1, 2, 3 y 5

19 septiembre 2024

Los resultados de este análisis post hoc sugieren que el tratamiento con semaglutida, 2,4 mg, no aumentó el riesgo de desarrollar síntomas de depresión o ideación/comportamiento suicida frente al placebo y se asoció con una reducción pequeña pero estadísticamente significativa de los síntomas depresivos (no considerada clínicamente significativa). Las personas con obesidad deben ser monitoreadas para detectar problemas de salud mental para que puedan recibir el apoyo y la atención adecuados. JAMA Intern Med, 3 de septiembre de 2024

Uso real de semaglutida para el control del peso: características de los pacientes y ajuste de la dosis: un estudio de cohorte danés

08 agosto 2024

Los usuarios reales de semaglutida en general se parecen a los participantes de los ensayos, pero pocos siguen los esquemas de titulación de dosis probados en los ensayos clínicos previos a su comercialización. Diabetes Care. 6 de agosto de 2024

Efectos de la semaglutida sobre la enfermedad renal crónica en pacientes con diabetes tipo 2

11 julio 2024

En pacientes con diabetes tipo 2 y tasa de filtrado glomerular entre 25 y 75 ml/min/1,73 m2 de superficie corporal y albuminuria, una dosis semanal de 1 mg de semaglutida redujo el riesgo de resultados renales clínicamente importantes, de muerte por causas cardiovasculares y de mortalidad por todas las causas en comparación con el placebo. New England Journal of Medicine, 24 de mayo de 2024.

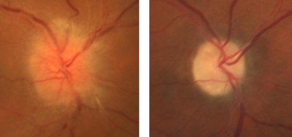
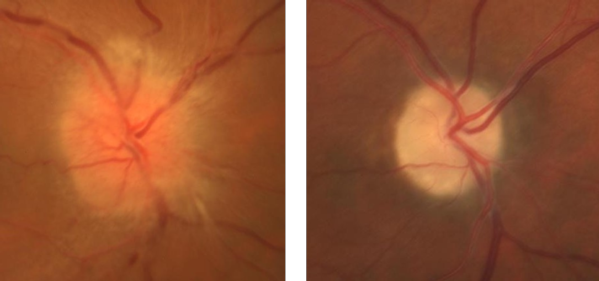
Riesgo de neuropatía oftálmica isquémica anterior no arterítica en pacientes que reciben semaglutida

08 julio 2024

Este estudio de cohorte reveló un mayor riesgo de neuropatía óptica isquémica anterior no arterítica en pacientes a los que se les prescribió semaglutida en comparación con los pacientes a los que se les recetaron otros medicamentos para la diabetes o la obesidad. Se requieren con urgencia nuevos estudios para ver si se replican estos resultados y evaluar la causalidad. JAMA Ophthalmology, 3 de julio de 2024.

Tratamiento farmacológico de la obesidad

16 mayo 2024

El lugar de la terapéutica de estos fármacos en la práctica clínica puede ser complejo, dado que las necesidades y expectativas de los pacientes pueden impulsar su prescripción temprana y en contextos cuya evidencia es escasa. El abordaje terapéutico de la obesidad debe incluir un enfoque integral que incluya un abordaje de todas sus posibles causas. Boletín Farmacológico, marzo de 2024.

Categorias

Etiquetas