Farmacología

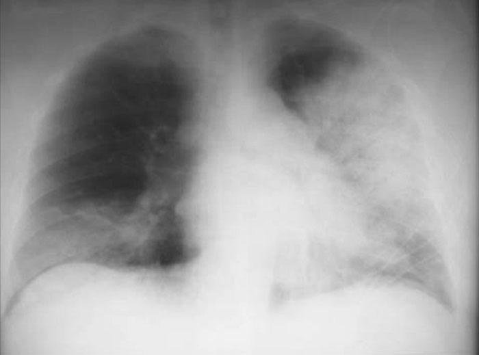
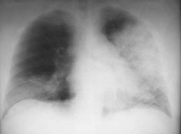
Corticoides en la neumonía severa

23 enero 2018

La actualización de una revisión Cochrane muestra beneficio del uso de corticosteroides en pacientes internados con neumonía severa. The Cochrane Library, 13 de diciembre de 2017

Los corticoides no reducen la mortalidad en el shock séptico

22 enero 2018

En pacientes que requirieron ventilación mecánica como parte del tratamiento del shock séptico, la hidrocortisona no fue superior al placebo. New England Journal of Medicine, 19 de enero de 2018

Modalidad de ventilación mecánica en el síndrome de distress respiratorio agudo

27 septiembre 2017

Una estrategia con reclutamiento pulmonar y PEEP titulada tuvo mayor mortalidad a los 28 días que la modalidad estándar de ventilación con PEEP baja. JAMA, 27 de septiembre de 2017

Prescripciones verbales y errores de medicación

14 julio 2017

ISMP-España Boletín nº 44 (Julio 2017) Las prescripciones verbales se siguen utilizando todavía en la práctica asistencial en situaciones específicas en que no resulta posible realizar una prescripción electrónica o manual, en particular en unidades de cuidados intensivos, ambulancias, servicios de urgencias y quirófanos.

Categorias

Etiquetas