Farmacología
Uso de benzodiazepinas o antipsicóticos y riesgo de mortalidad en pacientes con demencia en cuidados paliativos
                    23 octubre 2025
                
            
            En este estudio nacional de casos y controles de residentes de residencias de ancianos con enfermedad de Alzheimer y demencias relacionadas que reciben cuidados paliativos, el inicio del uso de benzodiazepinas o antipsicóticos se asoció con un aumento de la mortalidad a los 180 días. Si bien estos medicamentos pueden aliviar los síntomas en situaciones clínicas adecuadas, su uso conlleva riesgos considerables. Estos hallazgos resaltan la necesidad de tomar decisiones de prescripción cuidadosas y desarrollar directrices de prescripción de cuidados paliativos específicas para la demencia. JAMA Netw Open. 14 de octubre de 2025
Exposiciones relacionadas con la pandemia de COVID-19 y función cognitiva en mujeres de mediana edad
                    21 abril 2025
                
            
            Este estudio de cohorte de mujeres de mediana edad halló que la pandemia de COVID-19 y los eventos relacionados con ella no se asociaron con el deterioro cognitivo hasta 2,5 años después del inicio de la pandemia. Se necesitan estudios futuros para examinar las implicaciones a largo plazo de la infección por SARS-CoV-2 y la ACP para la función cognitiva. JAMA Internal Medicine, 17 de abril de 2025.
Deterioro cognitivo inducido por fármacos
                    11 febrero 2025
                
            
            El objetivo de esta revisión es aumentar la conciencia sobre el deterioro cognitivo inducido por fármacos (DCIF)proporcionando una descripción general de los tipos y síntomas de DCIF observados y los mecanismos subyacentes sospechosos para varias clases de medicamentos. Drug Saf, 24 de diciembre de 2024
Uso de fármacos antidemenciales al final de la vida
                    11 febrero 2025
                
            
            Uno de cada tres pacientes con demencia reciben drogas antidemenciales en los 6 meses previos a la muerte a pesar de la limitada evidencia que soporta su uso en este escenario. Medicina (B Aires), febrero de 2025.
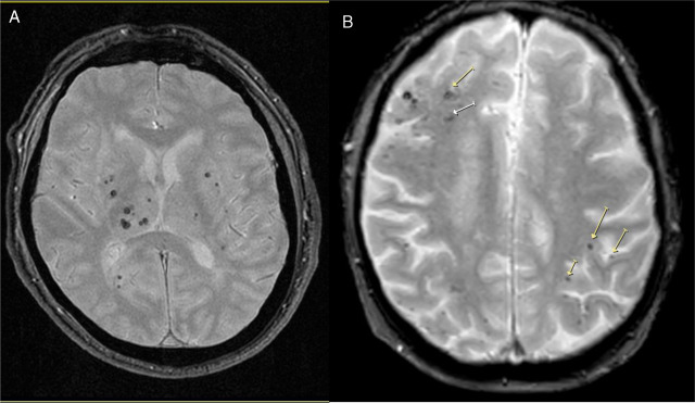
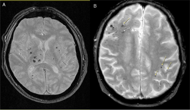
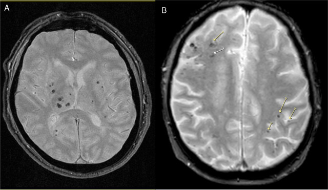
Enfermedad de los vasos cerebrales pequeños en la mediana edad y función cognitiva en etapas posteriores de la vida
                    20 enero 2025
                
            
            