Farmacología

Enfermedad de los vasos cerebrales pequeños en la mediana edad y función cognitiva en etapas posteriores de la vida

20 enero 2025

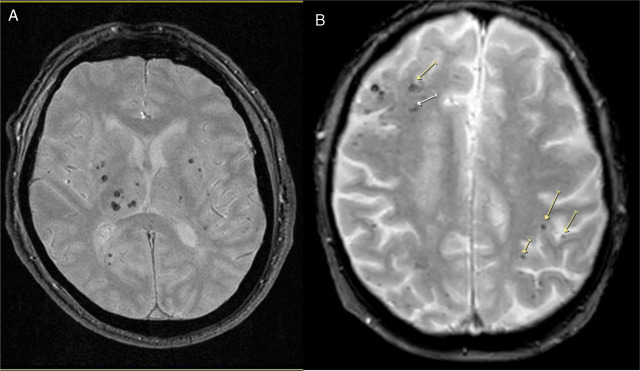
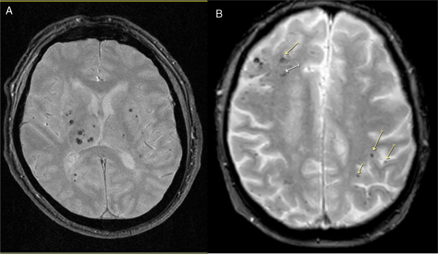
La presencia de enfermedad de vasos cerebrales pequeños en la resonancia magnética de adultos asintomáticos se asoció de manera independiente con un deterioro del funcionamiento ejecutivo durante un período de seguimiento de 8 años en esta población general coreana de edad mediana a avanzada. The Lancet Regional Health Western Pacific, febrero de 2025.

Carga anticolinérgica en pacientes con enfermedad renal crónica: patrones, factores de riesgo y vínculo con el deterioro cognitivo

12 diciembre 2024

Las personas con enfermedad renal crónica (ERC) tienen un riesgo elevado de deterioro cognitivo. Los medicamentos con actividad anticolinérgica son conocidos por sus reacciones adversas sobre el sistema nervioso central. La posible asociación entre la carga anticolinérgica y el deterioro cognitivo no se ha evaluado previamente en pacientes con ERC. En este estudio de una cohorte de pacientes con ERC de moderada a grave (dos tercios de los cuales tenían más de 65 años), se prescribieron con frecuencia fármacos anticolinérgicos y persistieron durante todo el período de seguimiento. Los pacientes con una alta carga anticolinérgica tuvieron puntuaciones significativamente más bajas en el Mini Mental State Examination (MMSE) y una probabilidad significativamente mayor de presentar deterioro cognitivo que los pacientes sin una carga anticolinérgica. J Am Geriatr Soc. 28 de noviembre de 2024

Demencia. Revisión

13 noviembre 2024

Este artículo analiza los últimos hallazgos en la prevención del deterioro cognitivo. También analiza la detección, el diagnóstico, el tratamiento y la calidad de vida de las personas con demencia y sus cuidadores. Annals of Internal Medicine, 12 noviembre 2024

Uso de tramadol y demencia incidente en adultos mayores con dolor musculoesquelético

15 octubre 2024

Este estudio de cohorte retrospectivo de base poblacional, encontró que la exposición al tramadol se asoció con un mayor riesgo de demencia. Teniendo en cuenta este riesgo potencial, los médicos deben sopesar cuidadosamente los posibles beneficios y riesgos al recetar tramadol a adultos mayores con dolor musculoesquelético. Sci Rep, 11 de octubre de 2024

Soledad y riesgo de demencia metanálisis utilizando datos longitudinales de más de 600.000 personas

15 octubre 2024

Los resultados subrayan la importancia de examinar más a fondo el tipo o las fuentes de soledad y los síntomas cognitivos para desarrollar intervenciones eficaces que reduzcan el riesgo de demencia. Nat. Mental Health, 9 de octubre de 2024

Categorias

Etiquetas