Farmacología

Gabapentinoides: sin eficacia en dolor lumbar

16 agosto 2017

Una revisión sistemática no encuentra pruebas de beneficio pero sí evidencia de efectos adversos significativos para gabapentina y pregabalina en dolor lumbar crónico. PLoS Medicine, 15 de agosto de 2017

Dolor de cuello: una puesta al día

15 agosto 2017

La cervicalgia es un síntoma frecuente en atención primaria y a menudo resulta difícil de resolver. Esta revisión actualiza su diagnóstico y tratamiento, incluyendo el uso de medicamentos y de medidas no farmacológicas. BMJ, 14 de agosto de 2017

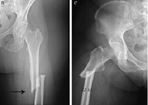
El uso prolongado de bifosfonatos reduce la resistencia a las fracturas

03 agosto 2017

Luego de un uso promedio de 8 años, los bifosfonatos mostraban tejido cortical más mineralizado pero con menor resistencia al inicio y progresión de la fractura femoral. PNAS, 31 de julio de 2017

Tocilizumab en arteritis de células gigantes: más remisiones y menos corticoides

27 julio 2017

La administración subcutánea semanal o quincenal durante un año logró un aumento sustancial del porcentaje de pacientes que permanecen en remisión completa sin corticoides. New England Journal of Medicine, 27 de julio de 2017

Tendencias en el uso de suplementos de alta dosis de vitamina D que excedan 1000 o 4000 unidades internacionales diarias, 1999-2014

07 julio 2017

JAMA. 2017 Desde el año 2000, ha habido un aumento en la investigación sobre los posibles beneficios para la salud de la vitamina D. Sin embargo, un informe del Instituto de Medicina de 2011 (OIM, ahora la Academia Nacional de Medicina) concluyó que la vitamina D era beneficiosa para la salud ósea, pero la evidencia era insuficiente para la salud extraesquelética.

Categorias

Etiquetas