Farmacología

No hay evidencias de beneficios con los medicamentos para la obesidad

20 abril 2017

Canadian Family Physician, 19 de abril de 2017 esta carta señala que un articulo publicado en febrero no demostró que la medicación para la obesidad prolongue la vida o mejore la calidad de vida del paciente. No obstante, recomiendan que prescribamos orlistat o liraglutida. Liraglutida es costosa y causa náuseas, vómitos y diarrea, mientras que el uso de orlistat obliga al paciente a usar pañales y a conocer la ubicación de todos los baños del vecindario en un intento de limitar las consecuencias de la fuga urgente de materia fecal aceitosa. La evidencia sugiere que no debemos prescribir medicamentos para la obesidad.

Evaluación de los factores de pre-comercialización para predecir las advertencias de recuadro y los retiros por motivos de seguridad después de la comercialización

05 abril 2017

Drug safety, 24 de marzo de 2017 Los medicamentos aprobados con una advertencia en recuadro tienen 3,88 veces más probabilidades de recibir una advertencia en recuadro después de la comercialización, mientras que los fármacos aprobados con una revisión prioritaria tienen 3,51 veces más probabilidades de recibir una advertencia en caja posterior a la comercialización.

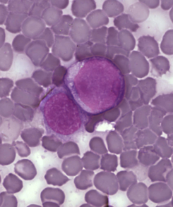
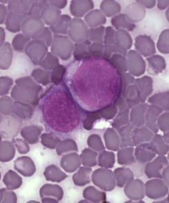
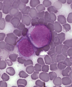
Evaluación de la eficacia y seguridad de la Midostaurina (M) en el tratamiento de la Leucemia Mieloide Aguda.

08 marzo 2017

ANMAT 22 de febrero de 2017 en este documento se presenta la evaluación para autorizar el uso de Midostaurina a través del Régimen de Acceso de Excepción a Medicamentos (RAEM)

Análisis de la evidencia sobre eficacia y seguridad de la vacuna de dengue CYD-TDV y su potencial registro e implementación en el Programa de Vacunación Universal de México

11 abril 2016

Salud Publica Mex, abril de 2016 Al igual que con cualquier nueva vacuna, el potencial registro e implementación de uso de CYD-TDV en el programa nacional de vacunación de México requiere una definición clara de cuál es el balance entre los beneficios y riesgos esperados. En particular, ante una vacuna con eficacia variable y algunas señales de riesgo, en caso de aprobar el registro, se deben desarrollar protocolos de manejo de riesgos detallados que permitan identificar de manera oportuna cualquier evento de salud asociado con la vacunación.

Categorias

Etiquetas