Farmacología

Beneficios y riesgos a largo plazo de los fármacos para prevención de fracturas

25 abril 2019

Una revisión sistemática muestra que el tratamiento con bifosfonatos luego de 3 a 5 años puede reducir las fracturas vertebrales, pero no previene las no vertebrales y aumenta el riesgo de complicaciones infrecuentes pero severas. Annals of Internal Medicine, 23 de abril de 2019

Persistencia y adherencia del mundo real con los bifosfonatos orales para la osteoporosis: una revisión sistemática

17 abril 2019

BMJ Open, 14 de abril de 2019 Si bien varios estudios informaron altos niveles de persistencia y adherencia, los hallazgos de esta revisión sugieren que la persistencia y adherencia de los pacientes a los medicamentos con bifosfonatos orales fue deficiente y se redujo notablemente con el tiempo. En general, la adherencia fue subóptima. Para maximizar la adherencia y la persistencia de los bifosfonatos orales, es importante considerar los posibles determinantes, incluidas las características de los pacientes.

Farmacología de los bifosfonatos.

11 abril 2019

Br J Clin Pharmacol., 16 de enero de 2019Llegando al final de su vida con patente , esta revisión resume el conocimiento existente de la farmacología (pre) clínica y traslacional de los bifosfonatos, y destaca las áreas en las que falta comprensión

Bifosfonatos y sindrome de Sjögren

18 febrero 2019

Al utilizar bifosfonatos en pacientes con sindrome de Sjögren debe considerarse que presentan un mayor riesgo de desarrollar osteonecrosis de mandíbula luego de una extracción dental. BMJ Open, 13 de febrero de 2019

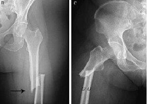
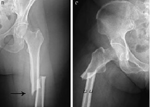
No se está tratando bien la osteoporosis luego de la fractura de cadera

23 julio 2018

Un estudio encuentra que menos del 10% de los pacientes había iniciado tratamiento para osteoporosis luego de 6 meses de la fractura, a pesar de los beneficios demostrados de los fármacos en esta indicación. JAMA Network Open, 20 de julio de 2018

Categorias

Etiquetas