Farmacología

El efecto de la terapia con bisfosfonatos a largo plazo sobre la resistencia ósea trabecular y la densidad de microgrietas

18 diciembre 2017

Se halló reducción de la resistencia y un aumento de microgrietas en el hueso tratado con bifosfonatos. Bone Joint Res, 27 de octubre de 2017

Guía para compartir la decisión de usar bifosfonatos en osteoporosis

10 octubre 2017

El NICE británico publica una actualización de la guía sobre los beneficios y riesgos del uso de bifosfonatos en la prevención de fracturas, para facilitar las decisiones en el consultorio. NICE, 5 de octubre de 2017

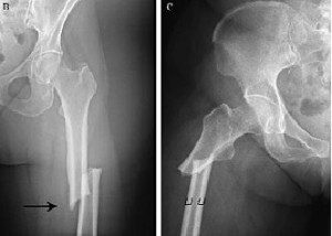
El uso prolongado de bifosfonatos reduce la resistencia a las fracturas

03 agosto 2017

Luego de un uso promedio de 8 años, los bifosfonatos mostraban tejido cortical más mineralizado pero con menor resistencia al inicio y progresión de la fractura femoral. PNAS, 31 de julio de 2017

Repensar la evaluación y aprobación de fármacos para la prevención de fracturas

16 mayo 2017

Front. Pharmacol., 15 de mayo de 2017 Se necesitan con urgencia ensayos bien diseñados y largos durante períodos de seguimiento prolongados, midiendo los resultados clínicamente relevantes como la cadera y otras fracturas incapacitantes, con el fin de comprender adecuadamente la relación beneficio-daño de los fármacos comúnmente prescritos.

Guía actualizada para el tratamiento de la osteoporosis

10 mayo 2017

El American College of Physicians recomienda el tratamiento farmacológico de la osteoporosis durante cinco años, y desaconseja el monitoreo de la densidad mineral ósea durante ese lapso. Annals of Internal Medicine, 9 de mayo de 2017

Categorias

Etiquetas