Farmacología
Interrupción de la terapia hormonal menopáusica y riesgo de fractura: estudios de casos y controles anidados
                    24 julio 2025
                
            
            La relación entre suspensión del tratamiento hormonal menopáusico y el riesgo de fracturas es compleja: tras la interrupción de la terapia hormonal aumenta considerablemente, generalmente por encima de los niveles de mujeres comparables que nunca la han utilizado, y luego aumenta con menor rapidez en comparación con las mujeres que nunca la han utilizado, para luego reducirse notablemente en la edad avanzada. The Lancet Healthy Longevity, 23 de julio de 2025.
El efecto de la suplementación mensual de vitamina D en las fracturas
                    03 abril 2023
                
            
            En un ensayo clínico con más de 20.000 adultos de 60 a 89 años, el agregado de una dosis mensual de 60.000 UI de vitamina D durante 5 años no redujo la incidencia de fracturas totales ni las de cadera en comparación con el placebo. The Lancet Diabetes & Endocrinology, 31 de marzo de 2023.
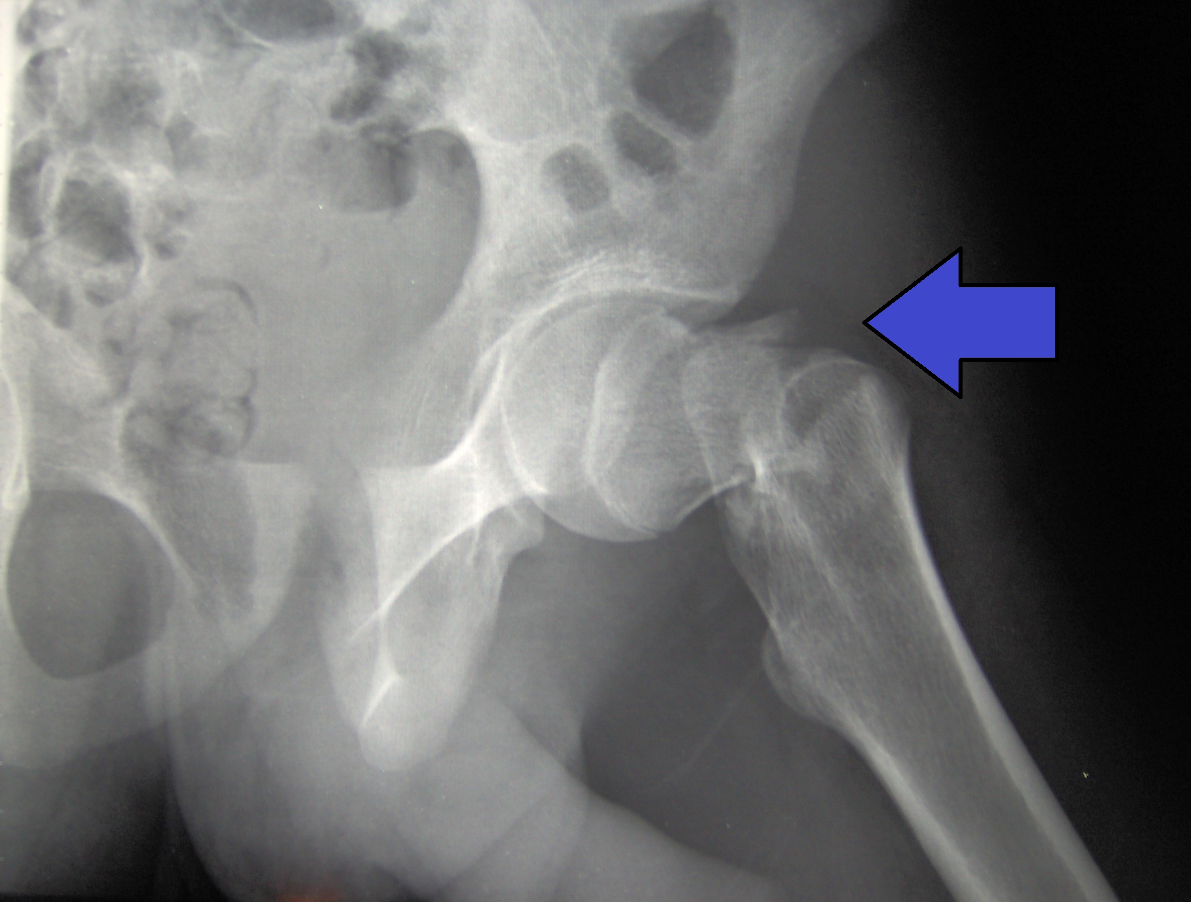
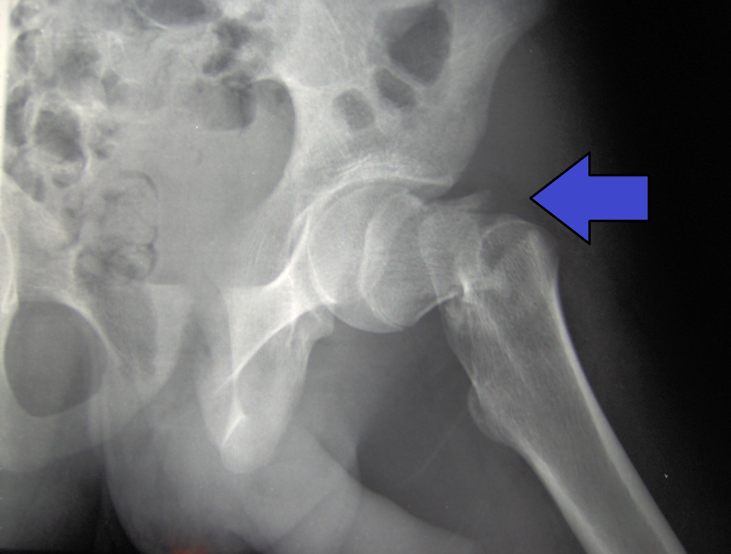
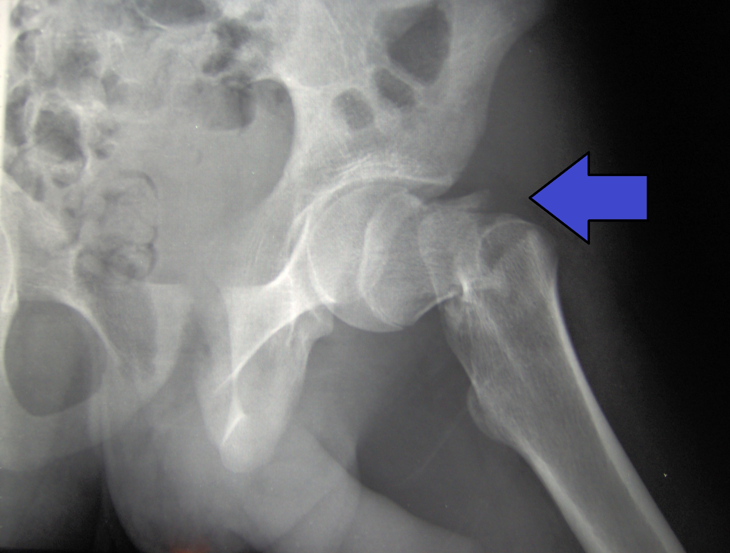
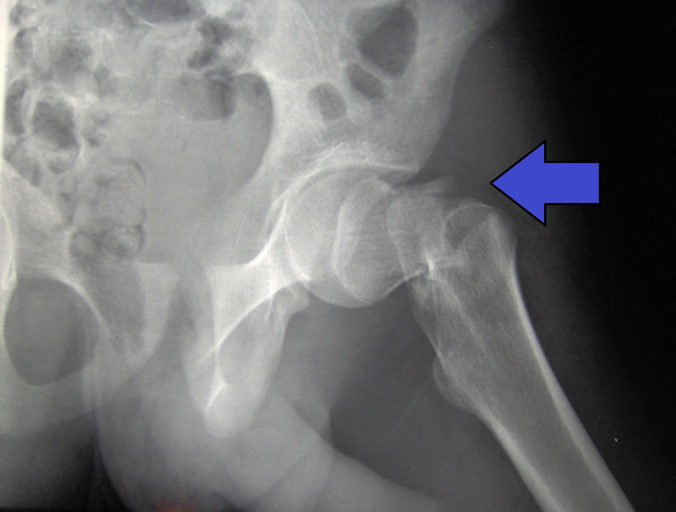
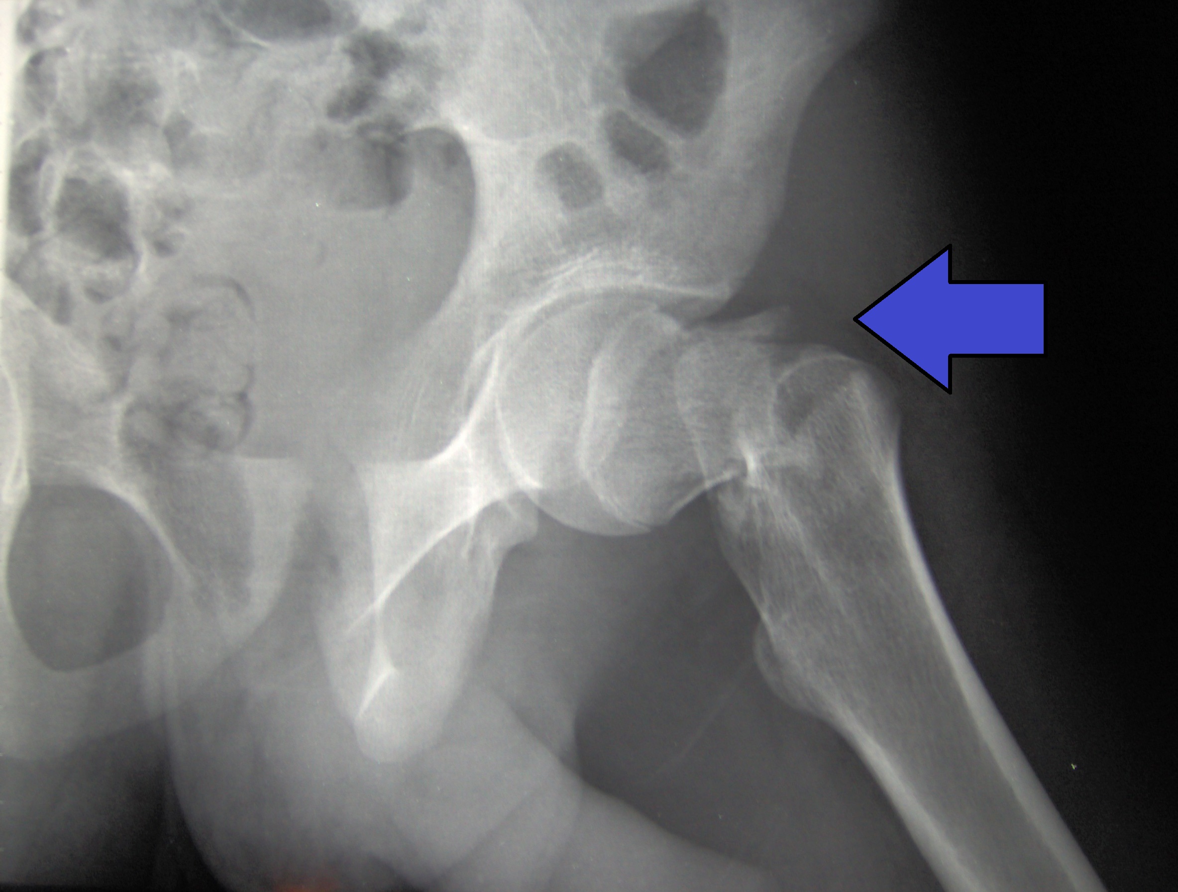
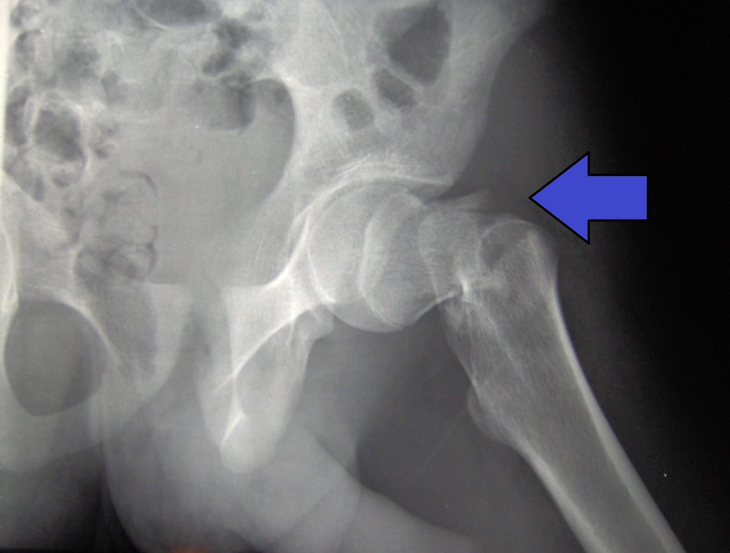
Riesgo de una nueva fractura en mujeres postmenopaúsicas según la intensidad del traumatismo inicial
                    15 junio 2021
                
            
            La recurrencia de fracturas se asoció tanto con una fractura inicial traumática como con una de bajo impacto o no traumática. Estos hallazgos sugieren que la evaluación clínica de la osteoporosis debe realizarse luego de ambos tipos de fractura. JAMA Internal Medicine, 7 de junio de 2021.
Eficacia de vitamina D, ácidos grasos omega-3 y ejercicios de fuerza en adultos mayores
                    12 noviembre 2020
                
            
            En personas mayores de 70 años o más y sin comorbilidades importantes, el tratamiento con vitamina D3, omega-3 o un programa de entrenamiento de fuerza no mejoró la presión arterial sistólica o diastólica ni la función cognitiva, ni redujo las fracturas no vertebrales o la tasa de infecciones. JAMA, 10 de noviembre de 2020.
La fluoxetina no mejoró los resultados funcionales luego de un accidente cerebrovascular
                    21 enero 2019
                
            
            