Farmacología

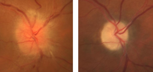
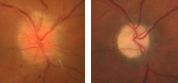
Riesgo de neuropatía oftálmica isquémica anterior no arterítica en pacientes que reciben semaglutida

08 julio 2024

Este estudio de cohorte reveló un mayor riesgo de neuropatía óptica isquémica anterior no arterítica en pacientes a los que se les prescribió semaglutida en comparación con los pacientes a los que se les recetaron otros medicamentos para la diabetes o la obesidad. Se requieren con urgencia nuevos estudios para ver si se replican estos resultados y evaluar la causalidad. JAMA Ophthalmology, 3 de julio de 2024.

Eficacia y seguridad de los medicamentos GLP-1 para la diabetes tipo 2 y la obesidad

13 junio 2024

Esta revisión narrativa evalua la evidencia que establece la eficacia de los medicamentos basados en GLP-1, al tiempo que analizalos datos que informan sobre la seguridad, centrándome en la fuerza muscular, la densidad ósea y las fracturas, la capacidad de ejercicio, la motilidad gastrointestinal, el contenido gástrico retenido y la anestesia, los trastornos pancreáticos y del tracto biliar, y el riesgo de cáncer. Diabetes Care. 6 de junio de 2024

Interrupción del tratamiento con agonistas del receptor GLP-1 en pacientes con obesidad y/o diabetes tipo 2

27 mayo 2024

La interrupción del tratamiento con  agonistas del receptor del péptido similar al glucagón tipo 1 (GLP-1) fue mayor entre las personas con obesidad sola que entre las personas con DM2 al inicio del estudio. Las características demográficas, clínicas y financieras específicas se asociaron con la interrupción. Las limitaciones del estudio incluyen la exclusión de tirzepatida (un nuevo agonista del GLP-1) y si la reducción de peso o los efectos adversos podrían explicar la mayor prevalencia de interrupción entre los pacientes con obesidad.  JAMA Netw Open. 24 de mayo de 2024

Intervenciones para prevenir la obesidad en niños de 12 a 18 años

23 mayo 2024

La evidencia muestra que las intervenciones alimentarias podrían tener poco o ningún efecto sobre la obesidad en los adolescentes. Existe evidencia de certeza baja de que las intervenciones de actividad podrían tener un pequeño efecto beneficioso sobre el IMC en el seguimiento a medio y largo plazo. Las intervenciones de alimentación y actividad podrían dar lugar a una diferencia mínima o nula. Es importante destacar que esta revisión actualizada también indica que las intervenciones para prevenir la obesidad en este grupo etario podrían producir una diferencia escasa o nula en los efectos adversos graves. Las limitaciones de la evidencia incluyen resultados inconsistentes entre los estudios, falta de rigor metodológico en algunos estudios y tamaños muestrales pequeños. Cochrane Database of Systematic Reviews, 20 de mayo de 2024

Implementación de la ciencia de la obesidad en la práctica clínica: una declaración científica de la Asociación Estadounidense del Corazón

21 mayo 2024

Esta declaración científica (1) describe estrategias que han demostrado ser efectivas o prometedoras para mejorar la traducción y la aplicación clínica de la investigación basada en la obesidad; (2) identifica lagunas clave en la implementación de la ciencia de la obesidad en la práctica clínica; y (3) proporciona orientación y recursos para los profesionales de la salud, los sistemas de atención médica y otras partes interesadas para promover una implementación y adopción más amplia de la ciencia de la obesidad para mejorar el manejo de la obesidad a nivel de la población.   Circulation, 20 de mayo de 2024

Categorias

Etiquetas