Farmacología

Uso de heparina en paciente ambulatorio con COVID-19 no grave

21 abril 2020

En un paciente con patología cardiovascular estable y con COVID-19 sin criterios de gravedad, tratado de forma ambulatoria, ¿estaría indicado el uso de heparina? Preevid, 17 de abril de 2020.

Brote de coagulopatía asociada a cannabinoides sintéticos en Illinois

27 septiembre 2018

N Engl J Med , 27 de septiembre de 2018 los datos de este estudio indican que los adulterantes de superwarfarina de los cannabinoides sintéticos pueden conducir a una coagulopatía clínicamente significativa. En nuestra serie, en la mayoría de los casos en que el paciente presentó diátesis hemorrágica, los síntomas se controlaron con el uso de terapia de reemplazo de vitamina K1. Los compuestos cannabinoides sintéticos específicos no se conocen.

Folia Doc Año XX No3. Novedades en Farmacovigilancia: Medicamentos Anticoagulantes y Antiagregantes Plaquetarios

25 abril 2018

La formación de coágulos intravasculares es un mecanismo frecuente de enfermedad, tanto por obstrucción arterial en el infarto agudo de miocardio (IAM) y en el accidente cerebrovascular (ACV) isquémico, como por obstrucción venosa en la trombosis venosa profunda. Repasaremos alguna evidencia publicada durante 2017 sobre los riesgos específicos de cada clase farmacológica utilizada en estos trastornos

Carga de las hospitalizaciones relacionadas con eventos adversos de medicamentos en los EE.UU.: un análisis retrospectivo de gran base de datos de pacientes hospitalizados.

10 julio 2017

Pharmacoepidemiol Drug Saf. junio de 2017 La RAM conducen a una carga significativa de la atención hospitalaria, incurre en mayores costos , y tienen mayor mortalidad. Las políticas dirigidas a reducirlas podrían ayudar a disminuir la mortalidad, así como reducir los costos.

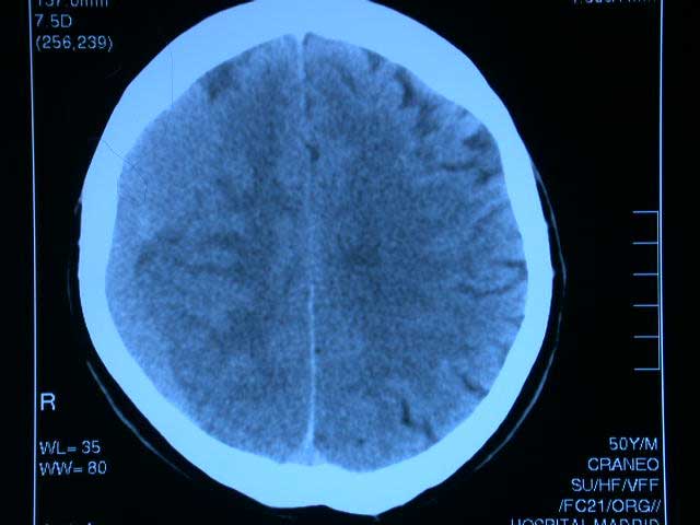
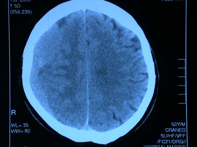
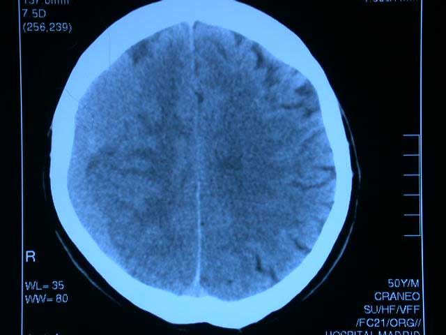
Fármacos antitrombóticos y hematoma subdural

01 marzo 2017

El uso creciente de fármacos anticoagulantes y antiagregantes se asocia a un aumento de hematomas subdurales, especialmente en los mayores de 75 años. La combinación de antagonistas de vitamina K con antiplaquetarios potencia el riesgo. JAMA, 28 de febrero de 2017

Categorias

Etiquetas