Farmacología

Inteligencia artificial en salud pública: promesas, desafíos y una agenda para los responsables políticos y las instituciones de salud pública

10 abril 2025

Las instituciones de salud pública pueden desempeñar un papel clave en el avance del uso significativo de la IA en la salud pública al garantizar que su personal esté actualizado con respecto a las disposiciones reglamentarias y los principios éticos existentes para el desarrollo y uso de tecnologías de IA, pensando en cómo priorizar la equidad en el diseño e implementación de la IA, invirtiendo en sistemas que puedan procesar de forma segura los grandes volúmenes de datos necesarios para las aplicaciones de IA y en gobernanza de datos y ciberseguridad, promoviendo el uso ético de la IA a través de pautas claras que se alineen con los derechos humanos y el bien público, y considerando el impacto ambiental de la IA. Lancet, 28 de febrero de 2025

Inteligencia artificial para mejorar la salud cardiovascular de la población

27 marzo 2025

Esta revisión ofrece una visión general de vanguardia de los avances recientes en tecnologías de IA y sus aplicaciones para mejorar la salud cardiovascular a nivel poblacional. A pesar del notable potencial de la IA para mejorar la salud de la población, es necesario abordar los desafíos relacionados con cuestiones legales, la privacidad de los datos, el sesgo de los algoritmos y las consideraciones éticas para garantizar un acceso equitativo y mejores resultados para todas las personas. European Heart Journal, 19 de marzo de 2025

Principios para el uso de la inteligencia artificial en la elaboración de guías de práctica clínica

29 enero 2025

Un grupo de trabajo sobre inteligencia artificial (IA) desarrolló estos criterios para el desarrollo y el uso de herramientas o procesos de IA en la elaboración de guías de práctica clínica. Se identificaron ocho principios a los que hay que adherirse cuando se utiliza la IA en el contexto de las directrices clínicas: transparencia, planificación previa, adicionalidad, credibilidad, ética, rendición de cuentas, cumplimiento y evaluación. Annals of Internal Medicine, 28 de enero de 2025.

Inteligencia artificial: influencia de los grandes modelos lingüísticos en el razonamiento diagnóstico

06 enero 2025

En este ensayo, la disponibilidad de un modelo de lenguaje amplio (LLM) para los médicos como ayuda diagnóstica no mejoró significativamente el razonamiento clínico en comparación con los recursos convencionales. Lo más llamativo es que el LLM por sí solo demostró un rendimiento superior tanto al del médico usando recursos convencionales como al del médico que tuvo acceso al LLM. Esto indica la necesidad de nuevos desarrollos para aprovechar el potencial de la colaboración entre médicos e inteligencia artificial en la práctica clínica. JAMA Network Open, 28 de octubre de 2024.

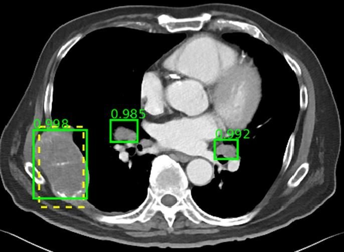
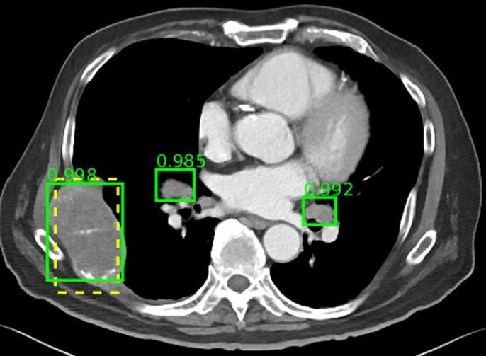
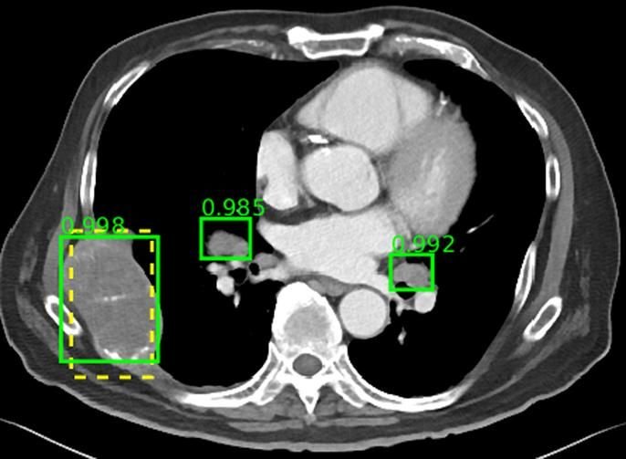
Percepción de la inteligencia artificial en la comunidad radiológica argentina

05 noviembre 2024

Aunque el grado de conocimiento acerca de la IA en la comunidad radiológica argentina es moderado, encontramos un alto interés y expectativas, y un bajo nivel de miedo o rechazo. Las sociedades radiológicas argentinas deberían desarrollar cursos de formación en IA. Rev Argent Radiol. 2024

Categorias

Etiquetas