Farmacología

Informes de evaluación de medicamentos BIT: guanfacina, naloxegol y brivaracetam

28 septiembre 2017

BIT, Navarra, 27 de septiembre de 2017 Guanfacina. Intuniv® en el TDAH. Un viejo conocido con mucho que demostrar, Naloxegol. Moventig® en el estreñimiento por opioides. Sin datos en la población diana, Brivaracetam: otro antiepiléptico para la colección,

Antidepresivos en el embarazo y trastorno por déficit de atención e hiperactividad en el niño

02 junio 2017

Este estudio de cohorte sugiere que la asociación podría deberse en parte al efecto confusor de la condición de salud que motiva la prescripción a la madre, más que a un efecto adverso propio del medicamento. BMJ, 31 de mayo de 2017

Antipsicóticos de Primera y Segunda Generación en Niños y Adultos Jóvenes: Revisión Sistemática.

17 marzo 2017

Agency for Healthcare Research and Quality, 16 de marzo de 2017 Existe poca información que compare directamente los diferentes antipsicóticos, con resultados importantes para el paciente, incluyendo calidad de vida y resultados relevantes para niños pequeños.

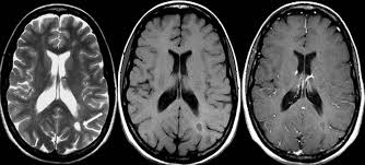
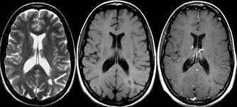
Déficit de atención con hiperactividad: hallazgos en neuroimágenes

23 febrero 2017

La resonancia magnética muestra reducción del volumen de diversas estructuras cerebrales en niños con la afección, pero no en los pacientes adultos. Podría interpretarse como un retraso en la maduración cerebral. The Lancet Psychiatry, 15 de febrero de 2017

Insomnio por medicamentos

30 enero 2017

Se revisan los informes de efectos adversos a la FDA para evaluar las clases principales de fármacos asociados a insomnio. Institute for Safe Medicine Practice, 25 de enero de 2017

Categorias

Etiquetas