Farmacología
Cáncer cerebral después de la exposición a la radiación de los exámenes de tomografía computada de niños y adultos jóvenes: resultados del estudio de cohorte EPI-CT
12 diciembre 2022
La significativa relación dosis-respuesta observada entre la exposición a la radiación relacionada con la TC y el cáncer cerebral en este gran estudio multicéntrico con evaluación de dosis individual enfatiza la justificación cuidadosa de las TC pediátricas y el uso de dosis tan bajas como sea razonablemente posible. Lancet Oncol. 6 de diciembre de 2022
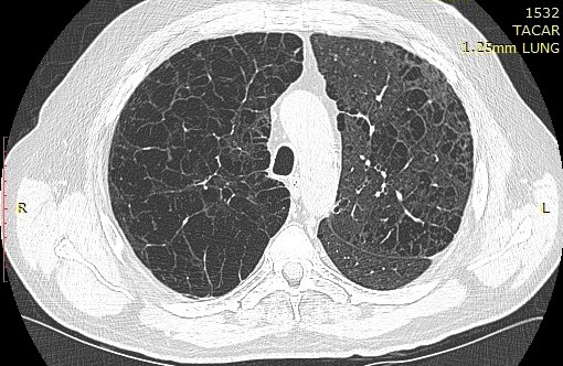
Presencia de enfisema por tomografía computada con espirometría normal
21 julio 2022
El enfisema a menudo está presente antes de que los resultados de la espirometría se vuelvan anormales, particularmente entre los hombres negros. Confiar únicamente en la espirometría para diferenciar la salud pulmonar de la enfermedad pulmonar puede resultar en un insuficiente reconocimiento del deterioro de la salud respiratoria. Annals of Internal Medicine, 19 de julio de 2022.
Cómo optimizar el rastreo de cáncer de pulmón en los fumadores
22 octubre 2019
Se comparó una estrategia basada en el riesgo de cáncer con otra que utiliza la ganancia en expectativa de vida. Annals of Internal Medicine, 22 de octubre de 2019
Frecuencia de tomografías computadas y riesgo de nefrectomía
27 diciembre 2017
En las áreas donde la frecuencia de estudios tomográficos es mayor también se realizan más nefrectomías, probablemente por hallazgos casuales en los estudios de imágenes. No queda claro el balance de riesgos y beneficios de esta práctica. JAMA Internal Medicine, 26 de diciembre de 2017
Seguridad de la TC diferida en los pacientes alcoholizados atendidos en Emergencias con posible lesión cerebral traumática
27 octubre 2016