Farmacología

Descenso sostenido de la mortalidad asociada a diabetes en los EEUU

18 junio 2018

En las últimas dos décadas ha descendido en forma sustancial la tasa de mortalidad entre las personas con diabetes, especialmente por causas cardiovasculares, reduciendo la brecha con los no diabéticos. The Lancet, 16 de junio de 2018

Testosterona y riesgo cardiovascular en las mujeres

18 junio 2018

El exceso relativo de andrógenos luego de la menopausia se asocia a un aumento de eventos coronarios e insuficiencia cardíaca. Journal of the American College of Cardiology, junio de 2018

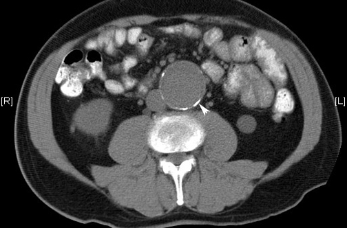
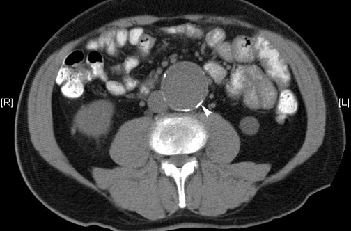
Cuestionan la eficacia actual del rastreo de aneurisma aórtico

18 junio 2018

Hay un descenso de la incidencia de mortalidad en las últimas décadas que excede a los efectos del rastreo, y que vuelve menos claro el balance de los riesgos y los beneficios del cribado. The Lancet, 14 de junio de 2018

Grasa en la dieta y salud cardiovascular: ¿dónde estamos?

15 junio 2018

Una revisión de las controversias alrededor del papel de los distintos tipos de grasas de la dieta y los posibles consensos actuales. British Medical Journal, 14 de junio de 2018

No hacer rastreo con electrocardiograma de reposo o de esfuerzo en adultos de bajo riesgo

14 junio 2018

La Fuerza de Tareas de Cuidados Preventivos estadounidense sostiene su recomendación en contra del ECG o la ergometría en pesonas asintomáticas si el riesgo estimado de eventos cardiovasculares es menor a 10% a 10 años. JAMA, 12 de junio de 2018

Categorias

Etiquetas