Farmacología

Colchicina en dosis bajas en pacientes con diabetes tipo 2 e infarto de miocardio reciente: el estudio COLCOT

10 enero 2024

En pacientes con diabetes tipo 2 y un infarto de miocardio reciente, una dosis diaria de 0,5 mg de colchicina produce una reducción del 35% (HR 0,65; IC95 %: 0,44 a 0,96; P = 0,03) de los eventos cardiovasculares. Estos resultados respaldan la realización del ensayo COLCOT-T2D en prevención primaria. Diabetes Care, 5 de enero de 2024.

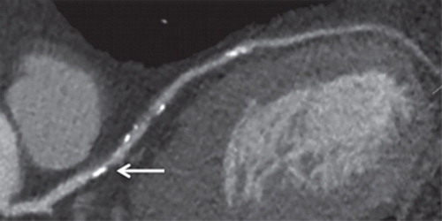
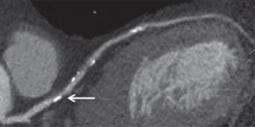
Ateroesclerosis coronaria subclínica y riesgo de infarto de miocardio

28 marzo 2023

En este estudio de cohortes realizado en Dinamarca, en personas asintomáticas, la detección de aterosclerosis coronaria obstructiva subclínica por medio de angiografía coronaria con TC se asoció con un riesgo más de 8 veces mayor de infarto de miocardio. Annals of Internal Medicine, 28 de marzo de 2023.

Rol de los inhibidores de PCSK9 y el ezetimibe en la prevención cardiovascular

09 mayo 2022

Ezetimibe o los inhibidores de PCSK9 pueden reducir el infarto de miocardio no fatal y el accidente cerebrovascular en adultos con riesgo cardiovascular muy alto o alto que reciben dosis máximas toleradas o son intolerantes a las estatinas, pero no en aquellos con riesgo cardiovascular moderado y bajo. British Medical Journal, 4 de mayo de 2022.

Evaluación de la asociación entre la reducción del colesterol de lipoproteínas de baja densidad y los efectos relativos y absolutos del tratamiento con estatinas

15 marzo 2022

Los resultados de esta revisión sistemática y metanálisis sugieren que las reducciones del riesgo absoluto del tratamiento con estatinas en términos de mortalidad por todas las causas, infarto de miocardio y accidente cerebrovascular son modestas en comparación con las reducciones del riesgo relativo , pueden no estar fuertemente mediados por el grado de reducción de LDL-C y deben comunicarse a los pacientes como parte de la toma de decisiones clínicas informadas, así como para informar las guías clínicas y política. JAMA Intern Med,14 de marzo de 2022.

Resultados cardiovasculares de inhibidores de SGLT-2 versus agonistas del receptor de GLP-1

04 octubre 2021

En un estudio observacional de cohortes de pacientes con diabetes tipo 2 con y sin antecedentes cardiovasculares, el uso de inhibidores de SGLT2 se asoció con un menor riesgo de internaciones por insuficiencia cardíaca en comparación con los agonistas del receptor de GLP-1. Annals of Internal Medicine, 28 de septiembre de 2021.

Categorias

Etiquetas