Farmacología

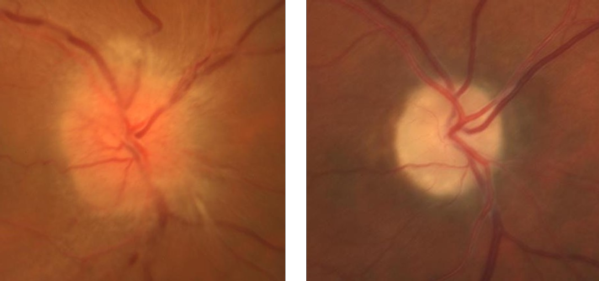
Riesgo de neuropatía oftálmica isquémica anterior no arterítica en pacientes que reciben semaglutida

08 julio 2024

Este estudio de cohorte reveló un mayor riesgo de neuropatía óptica isquémica anterior no arterítica en pacientes a los que se les prescribió semaglutida en comparación con los pacientes a los que se les recetaron otros medicamentos para la diabetes o la obesidad. Se requieren con urgencia nuevos estudios para ver si se replican estos resultados y evaluar la causalidad. JAMA Ophthalmology, 3 de julio de 2024.

Salud ósea frente a la pérdida de peso: comparación entre ejercicio solo, tratamiento con agonistas del receptor GLP-1 o tratamiento combinado

01 julio 2024

En este ensayo clínico aleatorizado, la combinación de ejercicio y GLP-1RA (liraglutida) fue la estrategia de pérdida de peso más eficaz y al mismo tiempo preservaba la salud ósea. El tratamiento con liraglutida solo redujo la DMO en sitios clínicamente relevantes más que el ejercicio solo a pesar de una pérdida de peso similar. JAMA Network Open, 25 de junio de 2024.

Eficacia y seguridad de los medicamentos GLP-1 para la diabetes tipo 2 y la obesidad

13 junio 2024

Esta revisión narrativa evalua la evidencia que establece la eficacia de los medicamentos basados en GLP-1, al tiempo que analizalos datos que informan sobre la seguridad, centrándome en la fuerza muscular, la densidad ósea y las fracturas, la capacidad de ejercicio, la motilidad gastrointestinal, el contenido gástrico retenido y la anestesia, los trastornos pancreáticos y del tracto biliar, y el riesgo de cáncer. Diabetes Care. 6 de junio de 2024

Interrupción del tratamiento con agonistas del receptor GLP-1 en pacientes con obesidad y/o diabetes tipo 2

27 mayo 2024

La interrupción del tratamiento con  agonistas del receptor del péptido similar al glucagón tipo 1 (GLP-1) fue mayor entre las personas con obesidad sola que entre las personas con DM2 al inicio del estudio. Las características demográficas, clínicas y financieras específicas se asociaron con la interrupción. Las limitaciones del estudio incluyen la exclusión de tirzepatida (un nuevo agonista del GLP-1) y si la reducción de peso o los efectos adversos podrían explicar la mayor prevalencia de interrupción entre los pacientes con obesidad.  JAMA Netw Open. 24 de mayo de 2024

Intervenciones para prevenir la obesidad en niños de 12 a 18 años

23 mayo 2024

La evidencia muestra que las intervenciones alimentarias podrían tener poco o ningún efecto sobre la obesidad en los adolescentes. Existe evidencia de certeza baja de que las intervenciones de actividad podrían tener un pequeño efecto beneficioso sobre el IMC en el seguimiento a medio y largo plazo. Las intervenciones de alimentación y actividad podrían dar lugar a una diferencia mínima o nula. Es importante destacar que esta revisión actualizada también indica que las intervenciones para prevenir la obesidad en este grupo etario podrían producir una diferencia escasa o nula en los efectos adversos graves. Las limitaciones de la evidencia incluyen resultados inconsistentes entre los estudios, falta de rigor metodológico en algunos estudios y tamaños muestrales pequeños. Cochrane Database of Systematic Reviews, 20 de mayo de 2024

Categorias

Etiquetas