Farmacología

Inicio oportuno de los cuidados paliativos en pacientes oncológicos

29 agosto 2017

La consulta precoz permite evitar el uso de tratamiento innecesariamente agresivo en los pacientes con enfermedad avanzada. Journal of Oncology Practice, 22 de agosto de 2017

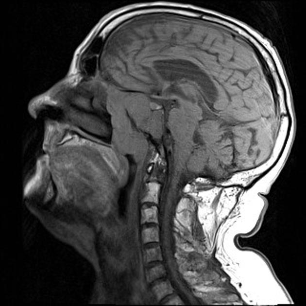
Rastreo de carcinoma nasofaríngeo con un análisis de sangre

15 agosto 2017

La presencia en plasma de ADN del virus Epstein-Barr tuvo una sensibilidad de 97,1% y una especificidad de 98,6% para el diagnóstico de carcinoma nasofaríngeo, realizado por endoscopía y resonancia magnética. New England Journal of Medicine, 10 de agosto de 2017

Fármacos contra el cáncer: como decidir cuando sólo se estudiaron variables subrogadas

26 julio 2017

La “vía acelerada” de la FDA y de la EMA permite aprobar nuevos medicamentos oncológicos mostrando beneficio sólo en variables intermedias; el artículo revisa el problema y plantea recomendaciones para tomar decisiones en este contexto. NO gracias, 24 de julio de 2017

Bendamustina: riesgo de infecciones severas

20 julio 2017

El uso de bendamustina se asocia a infecciones severas que pueden comprometer la vida. Advertencia del Drug Safety Update británico. MHRA, 20 de julio de 2017

¿La vasectomía produce cáncer de próstata?

18 julio 2017

Una extensa revisión de la evidencia muestra una débil asociación en los estudios mejor diseñados, con escaso impacto sobre el riesgo absoluto de la enfermedad. JAMA Internal Medicine, 17 de julio de 2017

Categorias

Etiquetas