Farmacología

Beneficios y riesgos a largo plazo de los fármacos para prevención de fracturas

25 abril 2019

Una revisión sistemática muestra que el tratamiento con bifosfonatos luego de 3 a 5 años puede reducir las fracturas vertebrales, pero no previene las no vertebrales y aumenta el riesgo de complicaciones infrecuentes pero severas. Annals of Internal Medicine, 23 de abril de 2019

Persistencia y adherencia del mundo real con los bifosfonatos orales para la osteoporosis: una revisión sistemática

17 abril 2019

BMJ Open, 14 de abril de 2019 Si bien varios estudios informaron altos niveles de persistencia y adherencia, los hallazgos de esta revisión sugieren que la persistencia y adherencia de los pacientes a los medicamentos con bifosfonatos orales fue deficiente y se redujo notablemente con el tiempo. En general, la adherencia fue subóptima. Para maximizar la adherencia y la persistencia de los bifosfonatos orales, es importante considerar los posibles determinantes, incluidas las características de los pacientes.

Farmacología de los bifosfonatos.

11 abril 2019

Br J Clin Pharmacol., 16 de enero de 2019Llegando al final de su vida con patente , esta revisión resume el conocimiento existente de la farmacología (pre) clínica y traslacional de los bifosfonatos, y destaca las áreas en las que falta comprensión

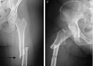
Denosumab: efecto rebote y otros efectos indeseados graves

12 diciembre 2018

Butlletí Groc vol.31 núm.3 jul-set 2018 El denosumab es un anticuerpo monoclonal que inhibe la resorción ósea producida por los osteoclastos. Fue comercializado en 2010 para el tratamiento de la osteoporosis. En estos años se han identificado varios efectos adversos potencialmente graves: predisposición a infecciones, cáncer, reacciones de hipersensibilidad, trastornos autoinmunes, e incremento de la incidencia de múltiples fracturas vertebrales espontáneas al suspender el tratamiento. En este número revisamos estas novedades.

Efectos de la suplementación con vitamina D en la salud musculoesquelética

09 octubre 2018

The Lancet Diabetes & Endocrinology, 4 de octubre de 2018 Los hallazgos sugieren que la suplementación con vitamina D no previene fracturas o caídas, ni tiene efectos clínicamente significativos en la densidad mineral ósea. No hay diferencias entre los efectos de dosis más altas y más bajas de vitamina D. Hay poca justificación para usar suplementos de vitamina D para mantener o mejorar la salud musculoesquelética. Esta conclusión debe reflejarse en las guías clínicas.

Categorias

Etiquetas