Farmacología

Evidencia preliminar sugiere que COVID-19 no tiene transmisión vertical

13 febrero 2020

En una serie de 9 embarazadas con infección comprobada por el virus en el momento del nacimiento no se constató en ningún caso la transmisión de la madre al feto. The Lancet, 12 de febrero de 2020.

Informe OPS: Enfermedad por el Coronavirus ‎‎(COVID-19)‎

13 febrero 2020

La Organización Panamericana de la Salud actualiza la evolución de la epidemia. La enfermedad producida por el virus se denominará oficialmente: COVID-19.  OPS, 12 de febrero de 2020.

Corticoides en la neumonía por 2019-nCoV

10 febrero 2020

Revisando los antecedentes del uso de corticosteroides en cuadros virales relacionados, no existe un buen motivo para esperar que los pacientes con infección por 2019-nCoV se beneficien de su uso, y podrían ser más propensos a sufrir los efectos adversos. Deberían usarse sólo en el contexto de un ensayo clínico. The Lancet, 7 de febrero de 2020

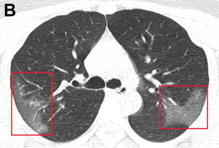
Características clínicas de los pacientes internados con neumonía por 2019-nCoV

10 febrero 2020

Cuadro febril con fatiga y tos seca, evoluciona a disnea en 5 días; presenta linfopenia, LDH elevada y tiempo de protrombina prolongado; tomografía con opacidad bilateral en vidrio esmerilado. El 26% requirió cuidados intensivo y el 4,3% falleció. JAMA, 7 de febrero de 2020

Nuevo coronavirus 2019-nCoV: recomendaciones oficiales para Argentina

06 febrero 2020

En esta etapa, el sistema de salud tiene que estar atento a cuadros infecciosos compatibles con la enfermedad y que tengan además un posible vínculo epidemiológico. Ministerio de Salud, 4 de febrero de 2020

Categorias

Etiquetas