Farmacología
Bupropión, glipizida, nifedipina: nuevas interacciones y reacciones adversas
24 agosto 2016
Modificaciones reciente en el prospecto de estos medicamentos en el Reino Unido emc, 23 de agosto de 2016
Metilprednisolona intravenosa: nuevos efectos adversos
20 agosto 2016
La información para prescribir en el Reino Unido incorpora: riesgo de trombosis y hepatotoxicidad. emc, 19 de agosto de 2016
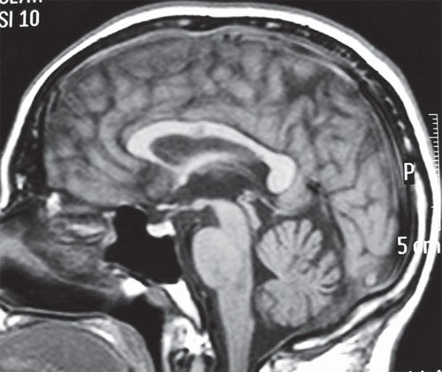
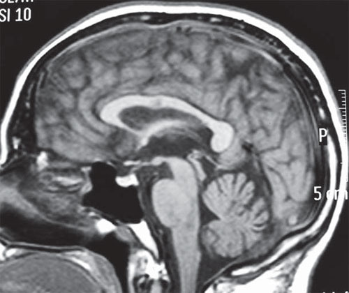
Fenitoína: los niveles séricos elevados pueden producir atrofia cerebelosa
02 agosto 2016
EMC, 1º de agosto de 2016
Anticoagulantes orales no antagonistas de la vitamina K: riesgo de hemorragia digestiva
04 julio 2016