Farmacología

Tratamientos más cortos con antibióticos

06 noviembre 2024

Los médicos que prescriben los antibióticos deben centrarse en duraciones de tratamiento individualizadas y basadas en evidencia, con el objetivo de lograr el tratamiento eficaz más corto que produzca una mejoría clínica. Las duraciones adaptadas facilitarán la adherencia del paciente al tratamiento, ralentizarán la resistencia a los antimicrobianos y reducirán los efectos adversos relacionados con los antibióticos.  Choosing Wisely Canada cuenta con un buen recurso con duraciones recomendadas y basadas en evidencia para adultos y niños con infecciones respiratorias comunes. CMAJ, 4 de noviembre de 2024

Base de evidencias para la duración óptima del tratamiento antibiótico de las infecciones de las vías respiratorias superiores e inferiores: revisión panorámica

08 octubre 2024

La evidencia disponible para la neumonía adquirida en la comunidad (NAC),y exacerbación aguda de enfermedad pulmonar obstructiva crónica (EAEPOC), fuera de la UCI respalda un tratamiento de corta duración de 5 días en pacientes que han mejorado clínicamente. Los esfuerzos de la comunidad científica deben dirigirse a implementar esta evidencia en la práctica diaria. Se necesitan ensayos controlados aleatorios de alta calidad para respaldar duraciones de tratamiento aún más cortas para la NAC y la EAEPOC, para establecer la duración óptima del tratamiento de la neumonía adquirida en el hospital y la sinusitis aguda, y para evaluar una duración más corta utilizando un esquema de dosificación óptimo de penicilina en pacientes con faringoamigdalitis. Lancet Infect Dis.   4 de septiembre de 2024

Directrices para la implementación de Programas para la Optimización del uso de Antimicrobianos  (PROA) en establecimientos de salud

11 septiembre 2024

Los Programas para la Optimización del uso de Antimicrobianos (PROA) son una herramienta esencial en los establecimientos de salud para prevenir la presión selectiva de los antibióticos y optimizar su uso, orientando un uso apropiado de los antibióticos para ofrecer los mejores resultados clínicos, con el menor riesgo de efectos adversos en el paciente como en el medio ambiente, reduciendo los niveles de RAM. Su implementación a nivel hospitalario ha evidenciado una reducción en el uso de antibióticos en forma global y principalmente en las unidades de cuidados intensivos (UCI), la estadía hospitalaria y los costos. Se ha demostrado que estos programas son efectivos en la reducción de la colonización e infección por MOMR, más aún si se implementan con medidas de control de infecciones.Este documento brinda las herramientas para la creación e implementación de un PROA en los establecimientos de salud. Ministerio de Salud de la Nación 2024

Antibióticos orales y riesgo de reacciones adversas cutáneas graves a los medicamentos

12 agosto 2024

En este estudio de casos y controles anidado, basado en la población, que abarcó dos décadas, las sulfonamidas y las cefalosporinas conllevaron el mayor riesgo de reacciones adversas cutáneas graves en comparación con los macrólidos, seguidas de la nitrofurantoína, las penicilinas y las fluoroquinolonas. JAMA, 8 de agosto de 2024.

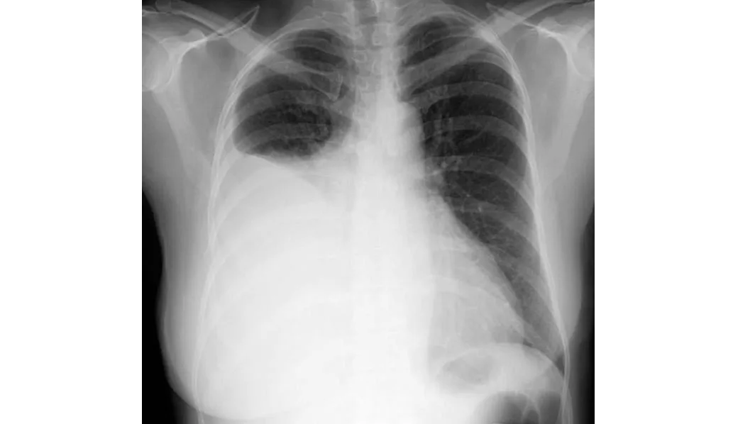
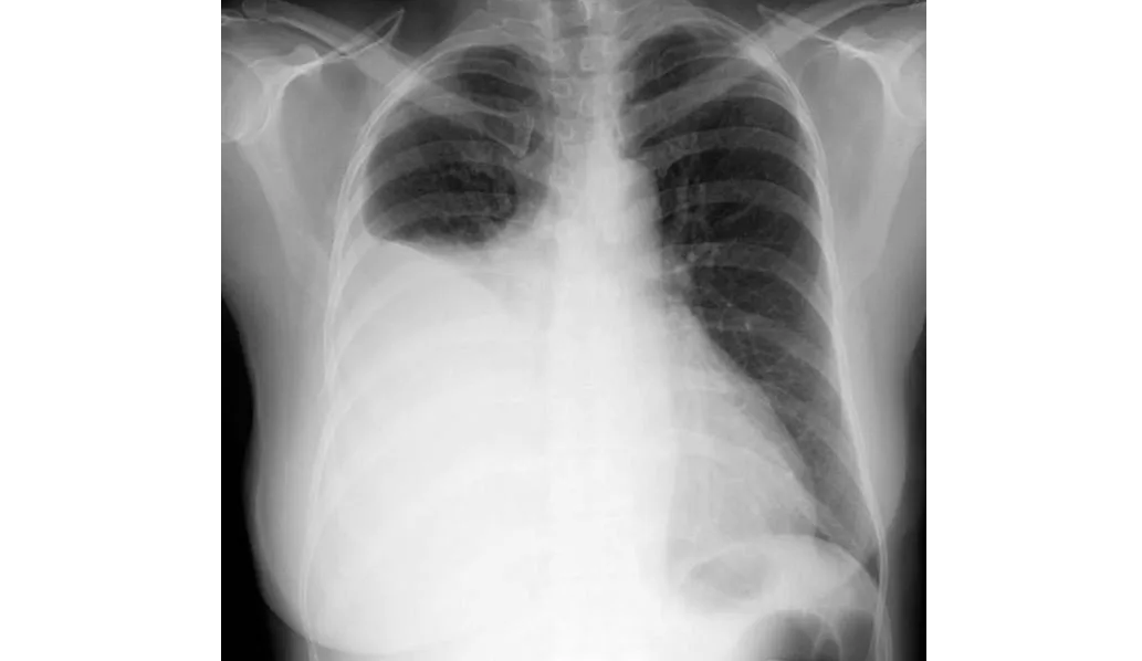
Farmacocinética de los antibióticos en derrames pleurales infectados.

08 julio 2024

En este estudio sobre farmacocinética de antibióticos realizado en pacientes con derrames pleurales infectados se encontró que los antibióticos de uso común, como amoxicilina, metronidazol, piperacilina-tazobactam y clindamicina, alcanzan niveles en el líquido pleural equivalentes a los de la sangre y por encima de la CIM para las bacterias que se sabe que causan infección pleural. La preocupación sobre la penetración de antibióticos de uso común en el espacio pleural infectado (excepto por la trimetroprima)  son infundadas. Thorax, 4 de julio de 2024.

Categorias

Etiquetas